For quotations, please use our online quotation form, and you may also contact us by
service@kendallscientific.com
+1-888.733.6849 (Toll-free)
+1-617.299.7367 (Int’l))
+1-888.733.6849
Our customer service representatives are available 24 hours, Monday through Friday to assist you.| Reactivity | Human Mouse Rat |
| Tested applications | WB IHC |
| Recommended Dilution | WB 1:500 - 1:2000 IHC 1:100 - 1:200 |
| Calculated MW | 62kDa |
| Observed MW | Refer to Figures |
| Immunogen | Recombinant protein of human Eif2ak2 |
| Storage Buffer | Store at -20℃. Avoid freeze / thaw cycles. Buffer: PBS with 0.02% sodium azide, 50% glycerol, pH7.3. |
| Concentration | bc |
| Synonym | Pkr; Tik; Prkr; AI467567; AI747578; 2310047A08Rik; 4732414G15Rik; |

Western blot analysis of extract of various cells, using Eif2ak2 antibody.

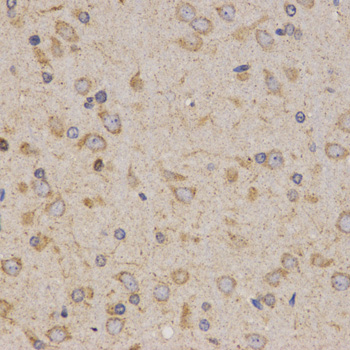
Immunohistochemistry of paraffin-embedded rat brain tissue using Eif2ak2 antibody at dilution of 1:200 (40x lens).

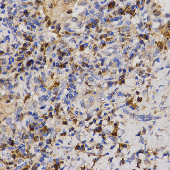
Immunohistochemistry of paraffin-embedded human lung cancer tissue using Eif2ak2 antibody at dilution of 1:200 (40x lens).

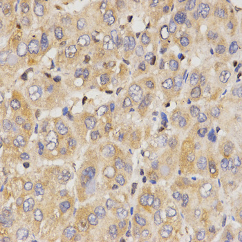
Immunohistochemistry of paraffin-embedded human liver cancer tissue using Eif2ak2 antibody at dilution of 1:200 (40x lens).

Immunohistochemistry of paraffin-embedded human liver using EIF2AK2 antibody at dilution of 1:100 (40x lens).
The protein encoded by this gene is a serine/threonine protein kinase that is activated by autophosphorylation after binding to dsRNA. The activated form of the encoded protein can phosphorylate translation initiation factor EIF2S1, which in turn inhibits protein synthesis. This protein is also activated by manganese ions and heparin. Three transcript variants encoding two different isoforms have been found for this gene.
N/A