For quotations, please use our online quotation form, and you may also contact us by
service@kendallscientific.com
+1-888.733.6849 (Toll-free)
+1-617.299.7367 (Int’l))
+1-888.733.6849
Our customer service representatives are available 24 hours, Monday through Friday to assist you.| Reactivity | Human Mouse Rat |
| Tested applications | WB IHC IF |
| Recommended Dilution | WB 1:500 - 1:2000 IHC 1:50 - 1:200 IF 1:50 - 1:200 |
| Calculated MW | 15kDa |
| Observed MW | Refer to Figures |
| Immunogen | Recombinant protein of human FABP4 |
| Storage Buffer | Store at -20℃. Avoid freeze / thaw cycles. Buffer: PBS with 0.02% sodium azide, 50% glycerol, pH7.3. |
| Synonym | FABP4 ; aP2; ALBP; Fatty acid binding protein 4; AFABP; A FABP |

Western blot analysis of extracts of various cell lines, using FABP4 antibody.

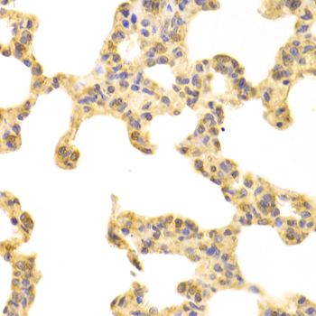
Immunohistochemistry of paraffin-embedded rat lung using FABP4 antibody at dilution of 1:100 (x400 lens).

Immunofluorescence analysis of HeLa cell using FABP4 antibody. Blue: DAPI for nuclear staining.

Immunofluorescence analysis of A549 cell using FABP4 antibody. Blue: DAPI for nuclear staining.
Fatty acid binding proteins (FABPs) bind to fatty acids and other lipids to function as cytoplasmic lipid chaperones (1). They participate in the transport of fatty acids and other lipids to various cellular pathways (2). The predominant fatty acid binding protein found in adipocytes is FABP4, also called adipocyte fatty acid binding protein or aP2. FABP4 is also expressed in macrophages (3). FABP4 knockout mice fed a high-fat and high-calorie diet become obese but develop neither insulin resistance nor diabetes, suggesting that this protein might be a link between obesity and insulin resistance and diabetes (4). Mice deficient in both FABP4 and ApoE show protection against atherosclerosis when compared with mice deficient only in ApoE (3). Mice carrying a FABP4 genetic variant exhibit both reduced FABP4 expression and a reduced potential for developing type 2 diabetes and coronary heart disease. A related study in humans indicated a similar pattern, suggesting that FABP4 may be a potential therapeutic target in the treatment of these disorders (1).
N/A