FBL-Polyclonal Antibodies

our services
our products
Quotations & Ordering:

For quotations, please use our online quotation form, and you may also contact us by

service@kendallscientific.com

Phone:

+1-888.733.6849 (Toll-free)
+1-617.299.7367 (Int’l))

Fax:

+1-888.733.6849

Our customer service representatives are available 24 hours, Monday through Friday to assist you.

FBL

Qty


Total
$220
Catalog #
A1136
Antibody Type
Polyclonal Antibody
Gene ID
2091
Swiss Prot
P22087
Size
Species
Rabbit
Isotype
IgG
Purity
Affinity purification
Additional Information
ReactivityHuman Mouse Rat
Tested applicationsWB IHC IF IP RIP
Recommended DilutionWB 1:500 - 1:2000 IHC 1:50 - 1:200 IF 1:50 - 1:200 IP 1:20 - 1:50 RIP 1:20 - 1:50
Calculated MW34kDa
Observed MWRefer to Figures
ImmunogenRecombinant protein of human FBL
Storage BufferStore at -20℃. Avoid freeze / thaw cycles. Buffer: PBS with 0.02% sodium azide, 50% glycerol, pH7.3.
Concentrationj
SynonymFBL;FIB;FLRN;RNU3IP1 ;
Images
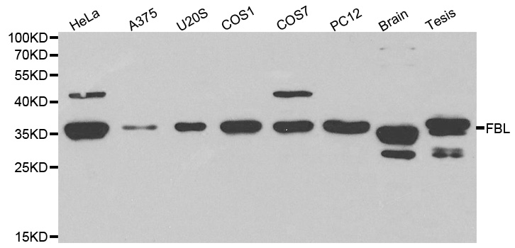
  • A1136: image 1

    Western blot analysis of extracts of various cell lines, using FBL antibody.

  • A1136: image 2

    Immunofluorescence analysis of HeLa cell using FBL antibody. Blue: DAPI for nuclear staining.

  • A1136: image 3

    Immunofluorescence analysis of A549 cell using FBL antibody. Blue: DAPI for nuclear staining.

Background

Fibrillarin is a 2'-O-methyltransferase located in fibrillar regions and Cajal bodies of the nucleolus, where RNA transcription and pre-RNA processing take place (1,2). Fibrillarin associates with several other structual proteins as well as box C/D snoRNA to form a complex that functions in pre-rRNA processing, pre-rRNA methylation and ribosome assembly. This complex catalyzes site-specific 2'-O-ribose methylation of targeted nucleotides within the rRNA sequence (3,4). The sequence, structure and function of fibrillarin are highly conserved and fibrillarin gene expression is essential for early embryonic development (5).

Protocol

N/A

MSDS
Reviews
Kendall Scientific welcomes feedback from its customers.

If you have used an our product and would like to share how it has performed, please click on the "Submit Review" button and provide the requested information.

If you have any additional inquiries please email technical services at info@kendallscientific.com.

Thank you for your support.

promotions

Image

Custom Monoclonal Antibody
MassAb Technologies
Image
Free Trial Custom Polyclonal Antibody
You will receive free purified antibodies for validation
Image
Custom Peptides Synthesis

Start from $40/each

new technologies

Image
Optimized for enhanced
expression levels
XPromoter 2.0
Image
E.coli/insect cells/293 & CHO

3 in 1 expression system
Image
MassAb Technologies

Cover All Epitopes