FKBP6-Polyclonal Antibodies

our services
our products
Quotations & Ordering:

For quotations, please use our online quotation form, and you may also contact us by

service@kendallscientific.com

Phone:

+1-888.733.6849 (Toll-free)
+1-617.299.7367 (Int’l))

Fax:

+1-888.733.6849

Our customer service representatives are available 24 hours, Monday through Friday to assist you.

FKBP6

Qty


Total
$220
Catalog #
A7013
Antibody Type
Polyclonal Antibody
Gene ID
8468
Swiss Prot
O75344
Size
Species
Rabbit
Isotype
IgG
Purity
Affinity purification
Additional Information
ReactivityHuman Mouse Rat
Tested applicationsWB IHC IF
Recommended DilutionWB 1:500 - 1:2000 IHC 1:50 - 1:200 IF 1:50 - 1:100
Calculated MW37kDa
Observed MWRefer to figures
ImmunogenRecombinant protein of human FKBP6
Storage BufferStore at -20℃. Avoid freeze / thaw cycles. Buffer: PBS with 0.02% sodium azide, 50% glycerol, pH7.3.
Concentrationf
SynonymFKBP36;
Images
  • A7013: image 1

    Western blot analysis of extracts of various cell lines, using FKBP6 antibody.

  • A7013: image 2

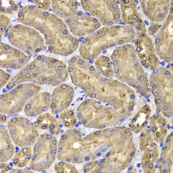
    Immunohistochemistry of paraffin-embedded mouse kidney using FKBP6 antibody at dilution of 1:100 (x400 lens).

  • A7013: image 3

    Immunofluorescence analysis of U20S cell using FKBP6 antibody. Blue: DAPI for nuclear staining.

Background

The protein encoded by this gene is a cis-trans peptidyl-prolyl isomerase that may function in immunoregulation and basic cellular processes involving protein folding and trafficking. This gene is located in a chromosomal region that is deleted in Williams-Beuren syndrome. Defects in this gene may cause male infertility. There are multiple pseudogenes for this gene located nearby on chromosome 7. Alternative splicing results in multiple transcript variants.

Protocol

N/A

MSDS
Reviews
Kendall Scientific welcomes feedback from its customers.

If you have used an our product and would like to share how it has performed, please click on the "Submit Review" button and provide the requested information.

If you have any additional inquiries please email technical services at info@kendallscientific.com.

Thank you for your support.

promotions

Image

Custom Monoclonal Antibody
MassAb Technologies
Image
Free Trial Custom Polyclonal Antibody
You will receive free purified antibodies for validation
Image
Custom Peptides Synthesis

Start from $40/each

new technologies

Image
Optimized for enhanced
expression levels
XPromoter 2.0
Image
E.coli/insect cells/293 & CHO

3 in 1 expression system
Image
MassAb Technologies

Cover All Epitopes