For quotations, please use our online quotation form, and you may also contact us by
service@kendallscientific.com
+1-888.733.6849 (Toll-free)
+1-617.299.7367 (Int’l))
+1-888.733.6849
Our customer service representatives are available 24 hours, Monday through Friday to assist you.| Reactivity | Human Mouse Rat |
| Tested applications | WB IHC IF |
| Recommended Dilution | WB 1:500 - 1:2000 IHC 1:50 - 1:200 IF 1:50 - 1:200 |
| Calculated MW | 71kDa |
| Observed MW | Refer to Figures |
| Immunogen | A synthetic Peptide of human FMR1 |
| Storage Buffer | Store at -20℃. Avoid freeze / thaw cycles. Buffer: PBS with 0.02% sodium azide, 50% glycerol, pH7.3. |
| Concentration | j |
| Synonym | POF; FMRP; POF1; FRAXA; |

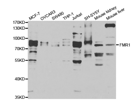
Western blot analysis of extracts of various cell lines, using FMR1 antibody.

Immunohistochemistry of paraffin-embedded rat brain using FMR1 antibody at dilution of 1:100 (x40 lens).

Immunohistochemistry of paraffin-embedded mouse brain using FMR1 antibody at dilution of 1:100 (x40 lens).

Immunofluorescence analysis of U20S cell using FMR1 antibody. Blue: DAPI for nuclear staining.

Immunofluorescence analysis of A549 cell using FMR1 antibody. Blue: DAPI for nuclear staining.
The protein encoded by this gene binds RNA and is associated with polysomes. The encoded protein may be involved in mRNA trafficking from the nucleus to the cytoplasm. A trinucleotide repeat (CGG) in the 5' UTR is normally found at 6-53 copies, but an expansion to 55-230 repeats is the cause of fragile X syndrome. Expansion of the trinucleotide repeat may also cause one form of premature ovarian failure (POF1). Multiple alternatively spliced transcript variants that encode different protein isoforms and which are located in different cellular locations have been described for this gene.
N/A