GAPDH-Monoclonal Antibodies

our services
our products
Quotations & Ordering:

For quotations, please use our online quotation form, and you may also contact us by

service@kendallscientific.com

Phone:

+1-888.733.6849 (Toll-free)
+1-617.299.7367 (Int’l))

Fax:

+1-888.733.6849

Our customer service representatives are available 24 hours, Monday through Friday to assist you.

GAPDH

Qty


Total
$135
Catalog #
AC001
Antibody Type
Polyclonal Antibody
Gene ID
2597
Swiss Prot
P04406
Size
Species
Rabbit
Isotype
IgG
Purity
Affinity purification
Additional Information
Reactivity Human Mouse Rat
Tested applications WB IHC IF
Recommended Dilution WB 1:1000 - 1:10000 IHC 1:50 - 1:100 IF 1:20 - 1:50
Calculated MW 36kDa
Observed MW Refer to Figures
Immunogen Recombinant protein of human GAPDH
Storage Buffer Store at -20℃. Avoid freeze / thaw cycles. Buffer: PBS with 0.02% sodium azide, 50% glycerol, pH7.3.
Synonym GAPDH;G3PD;GAPD;MGC88685 ;
Images
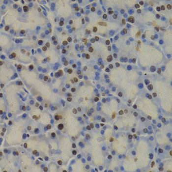
  • AC001: image 1

    Immunohistochemistry of paraffin-embeddedrat pancreas using GAPDH antibody at dilution 1:100(400x lens).

Background

Glyceraldehyde-3-phosphate dehydrogenase (GAPDH) catalyzes the phosphorylation of glyceraldehyde-3-phosphate during glycolysis. GAPDH participates in nuclear events including transcription, binding RNA, RNA transport, DNA replication, DNA repair and apoptosis. Being stably and constitutively expressed at high levels in most tissues and cells, GAPDH is considered a housekeeping protein. It was widely used as a control for RT-PACR and also loading control in electrophoresis and Western blotting. This antibody is a rabbit polyclonal antibody raised against full length GAPDH of human origin. It can recognize the 36kda GAPDH protein in most cells/tissues. Please note that some physiological factors, such as hypoxia and diabetes, increase GAPDH expression in certain cell types.

Protocol

N/A

MSDS
Reviews
Kendall Scientific welcomes feedback from its customers.

If you have used an our product and would like to share how it has performed, please click on the "Submit Review" button and provide the requested information.

If you have any additional inquiries please email technical services at info@kendallscientific.com.

Thank you for your support.

promotions


Custom Monoclonal Antibody
MassAb Technologies
Image
Free Trial Custom Polyclonal Antibody
You will receive free purified antibodies for validation
Image
Custom Peptides Synthesis

Start from $40/each

new technologies

Image
Optimized for enhanced
expression levels
XPromoter 2.0
Image
E.coli/insect cells/293 & CHO

3 in 1 expression system
Image
MassAb Technologies

Cover All Epitopes