For quotations, please use our online quotation form, and you may also contact us by
service@kendallscientific.com
+1-888.733.6849 (Toll-free)
+1-617.299.7367 (Int’l))
+1-888.733.6849
Our customer service representatives are available 24 hours, Monday through Friday to assist you.| Reactivity | Human Mouse Rat |
| Tested applications | WB IHC IF |
| Recommended Dilution | WB 1:500 - 1:2000 IHC 1:50 - 1:200 IF 1:50 - 1:200 |
| Calculated MW | 35kDa |
| Observed MW | Refer to Figures |
| Immunogen | Recombinant protein of human GNB2L1 |
| Storage Buffer | Store at -20℃. Avoid freeze / thaw cycles. Buffer: PBS with 0.02% sodium azide, 50% glycerol, pH7.3. |
| Concentration | jq |
| Synonym | H12.3; HLC-7; PIG21; RACK1; Gnb2-rs1; |

Western blot analysis of extracts of various cell lines, using GNB2L1 antibody.

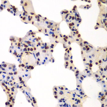
Immunohistochemistry of paraffin-embedded rat lung using GNB2L1 antibody at dilution of 1:100 (400x lens).

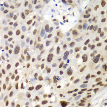
Immunohistochemistry of paraffin-embedded human lung cancer using GNB2L1 antibody at dilution of 1:100 (400x lens).

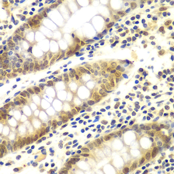
Immunohistochemistry of paraffin-embedded human colon using GNB2L1 antibody at dilution of 1:100 (400x lens).

Immunohistochemistry of paraffin-embedded human oophoroma using GNB2L1 antibody at dilution of 1:100 (400x lens).

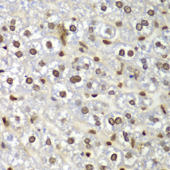
Immunohistochemistry of paraffin-embedded mouse liver using GNB2L1 antibody at dilution of 1:100 (400x lens).

Immunohistochemistry of paraffin-embedded human oophoroma using GNB2L1 antibody at dilution of 1:100 (400x lens).

Immunofluorescence analysis of MCF-7 cell using GNB2L1 antibody.
N/A