For quotations, please use our online quotation form, and you may also contact us by
service@kendallscientific.com
+1-888.733.6849 (Toll-free)
+1-617.299.7367 (Int’l))
+1-888.733.6849
Our customer service representatives are available 24 hours, Monday through Friday to assist you.| Reactivity | Human Mouse Rat |
| Tested applications | WB IHC IF |
| Recommended Dilution | WB 1:500 - 1:2000 IHC 1:50 - 1:200 IF 1:50 - 1:100 |
| Calculated MW | 40kDa |
| Observed MW | Refer to figures |
| Immunogen | Recombinant protein of human H2AFY |
| Storage Buffer | Store at -20℃. Avoid freeze / thaw cycles. Buffer: PBS with 0.02% sodium azide, 50% glycerol, pH7.3. |
| Synonym | H2A.y; H2A/y; H2AFJ; mH2A1; H2AF12M; MACROH2A1.1; macroH2A1.2; |

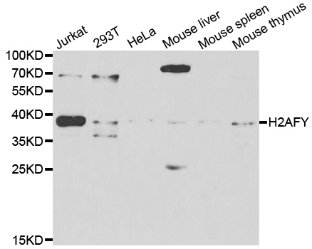
Western blot analysis of extracts of various cell lines, using H2AFY antibody.

Western blot analysis of extracts of various cell lines, using H2AFY antibody.

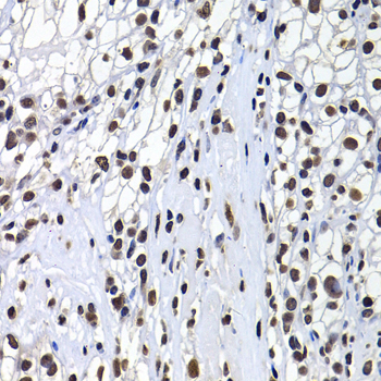
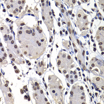
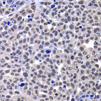
Immunohistochemistry of paraffin-embedded human kidney using H2AFY antibody at dilution of 1:100 (x400 lens).

Immunohistochemistry of paraffin-embedded human kidney cancer using H2AFY antibody at dilution of 1:100 (x400 lens).

Immunohistochemistry of paraffin-embedded human stomach using H2AFY antibody at dilution of 1:100 (x400 lens).

Immunohistochemistry of paraffin-embedded mouse cancer using H2AFY antibody at dilution of 1:100 (x400 lens).

Immunofluorescence analysis of U20S cell using H2AFY antibody. Blue: DAPI for nuclear staining.
Histones are basic nuclear proteins that are responsible for the nucleosome structure of the chromosomal fiber in eukaryotes. Nucleosomes consist of approximately 146 bp of DNA wrapped around a histone octamer composed of pairs of each of the four core histones (H2A, H2B, H3, and H4). The chromatin fiber is further compacted through the interaction of a linker histone, H1, with the DNA between the nucleosomes to form higher order chromatin structures. This gene encodes a member of the histone H2A family. It replaces conventional H2A histones in a subset of nucleosomes where it represses transcription and participates in stable X chromosome inactivation. Alternative splicing results in multiple transcript variants encoding different isoforms.
N/A