HCFC1-Polyclonal Antibodies

our services
our products
Quotations & Ordering:

For quotations, please use our online quotation form, and you may also contact us by

service@kendallscientific.com

Phone:

+1-888.733.6849 (Toll-free)
+1-617.299.7367 (Int’l))

Fax:

+1-888.733.6849

Our customer service representatives are available 24 hours, Monday through Friday to assist you.

HCFC1

Qty


Total
$220
Catalog #
A1841
Antibody Type
Polyclonal Antibody
Gene ID
3054
Swiss Prot
P51610
Size
Species
Rabbit
Isotype
IgG
Purity
Affinity purification
Additional Information
ReactivityHuman Mouse Rat
Tested applicationsWB IHC
Recommended DilutionWB 1:500 - 1:2000 IHC 1:50 - 1:200
Calculated MW209kDa
Observed MWRefer to Figures
ImmunogenRecombinant protein of human HCFC1
Storage BufferStore at -20℃. Avoid freeze / thaw cycles. Buffer: PBS with 0.02% sodium azide, 50% glycerol, pH7.3.
Concentrationh
SynonymCFF; HCF1; HFC1; MRX3; VCAF; HCF-1;
Images
  • A1841: image 1

    Western blot analysis of extracts of jurkat cells, using HCFC1 antibody.

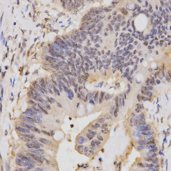
  • A1841: image 2

    Immunohistochemistry of paraffin-embedded human rectal cancer using HCFC1 antibody at dilution of 1:200 (x400 lens)

Background

This gene is a member of the host cell factor family and encodes a protein with five Kelch repeats, a fibronectin-like motif, and six HCF repeats, each of which contains a highly specific cleavage signal. This nuclear coactivator is proteolytically cleaved at one of the six possible sites, resulting in the creation of an N-terminal chain and the corresponding C-terminal chain. The final form of this protein consists of noncovalently bound N- and C-terminal chains. The protein is involved in control of the cell cycle and transcriptional regulation during herpes simplex virus infection. Alternatively spliced variants which encode different protein isoforms have been described; however, not all variants have been fully characterized. [provided by RefSeq, Jul 2008]

Protocol

N/A

MSDS
Reviews
Kendall Scientific welcomes feedback from its customers.

If you have used an our product and would like to share how it has performed, please click on the "Submit Review" button and provide the requested information.

If you have any additional inquiries please email technical services at info@kendallscientific.com.

Thank you for your support.

promotions

Image

Custom Monoclonal Antibody
MassAb Technologies
Image
Free Trial Custom Polyclonal Antibody
You will receive free purified antibodies for validation
Image
Custom Peptides Synthesis

Start from $40/each

new technologies

Image
Optimized for enhanced
expression levels
XPromoter 2.0
Image
E.coli/insect cells/293 & CHO

3 in 1 expression system
Image
MassAb Technologies

Cover All Epitopes