For quotations, please use our online quotation form, and you may also contact us by
service@kendallscientific.com
+1-888.733.6849 (Toll-free)
+1-617.299.7367 (Int’l))
+1-888.733.6849
Our customer service representatives are available 24 hours, Monday through Friday to assist you.| Reactivity | Human Mouse Rat |
| Tested applications | WB IHC |
| Recommended Dilution | WB 1:500 - 1:2000 IHC 1:50 - 1:200 |
| Calculated MW | 197kDa |
| Observed MW | Refer to figures |
| Immunogen | A synthetic peptide of human HDAC4 |
| Storage Buffer | Store at -20℃. Avoid freeze / thaw cycles. Buffer: PBS with 0.02% sodium azide, 50% glycerol, pH7.3. |
| Synonym | HDAC4;HA6116;HD4;HDAC-A;HDACA;KIAA0288 ; |

Western blot analysis of extracts of various cell lines, using HDAC4 antibody.

Immunohistochemistry of paraffin-embedded Human mammary cancer using HDAC4 antibody at dilution of 1:100 (x40 lens)..

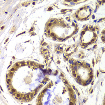
Immunohistochemistry of paraffin-embedded Human mammary gland using HDAC4 antibody at dilution of 1:100 (x40 lens)..

Immunohistochemistry of paraffin-embedded Mouse lung using HDAC4 antibody at dilution of 1:100 (x40 lens)..

Immunohistochemistry of paraffin-embedded human gastric using HDAC4 antibody at dilution of 1:100 (x40 lens).

Immunohistochemistry of paraffin-embedded rat brain using HDAC4 antibody at dilution of 1:100 (x40 lens).

Immunohistochemistry of paraffin-embedded mouse brain using HDAC4 antibody at dilution of 1:100 (x40 lens).
N/A