For quotations, please use our online quotation form, and you may also contact us by
service@kendallscientific.com
+1-888.733.6849 (Toll-free)
+1-617.299.7367 (Int’l))
+1-888.733.6849
Our customer service representatives are available 24 hours, Monday through Friday to assist you.| Reactivity | Human Mouse Rat |
| Tested applications | WB IHC IF IP RIP |
| Recommended Dilution | WB 1:500 - 1:2000 IHC 1:50 - 1:200 IF 1:50 - 1:200 IP 1:20 - 1:50 RIP 1:20 - 1:50 |
| Calculated MW | 26kDa |
| Observed MW | Refer to Figures |
| Immunogen | Recombinant protein of human HDGF |
| Storage Buffer | Store at -20℃. Avoid freeze / thaw cycles. Buffer: PBS with 0.02% sodium azide, 50% glycerol, pH7.3. |
| Concentration | j |
| Synonym | HMG1L2; |

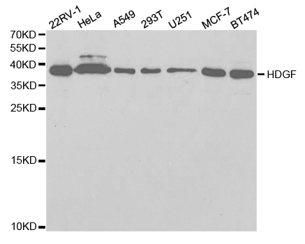
Western blot analysis of extracts of various cell lines, using HDGF antibody.

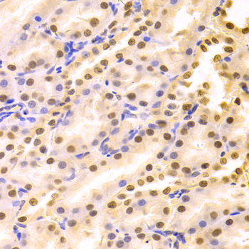
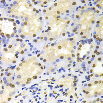
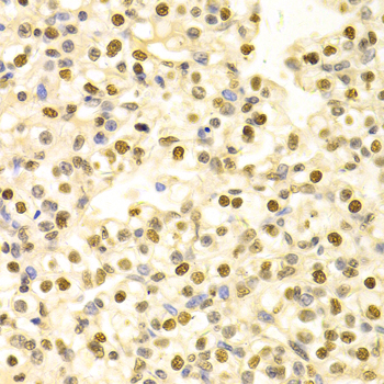
Immunohistochemistry of paraffin-embedded rat liver using HDGF antibody at dilution of 1:100 (x400 lens).

Immunohistochemistry of paraffin-embedded rat brain using HDGF antibody at dilution of 1:100 (x400 lens).

Immunohistochemistry of paraffin-embedded rat kidney using HDGF antibody at dilution of 1:100 (x400 lens).

Immunohistochemistry of paraffin-embedded human kidney using HDGF antibody at dilution of 1:100 (x400 lens).

Immunohistochemistry of paraffin-embedded human kidney cancer using HDGF antibody at dilution of 1:100 (x400 lens).

Immunofluorescence analysis of U20S cell using HDGF antibody. Blue: DAPI for nuclear staining.

Immunofluorescence analysis of A549 cell using HDGF antibody.
This gene encodes a member of the hepatoma-derived growth factor family. The encoded protein has mitogenic and DNA-binding activity and may play a role in cellular proliferation and differentiation. This gene was thought initially to be located on chromosome X, however, that location has been determined to correspond to a related pseudogene. Alternatively spliced transcript variants encoding distinct isoforms have been described.
N/A