For quotations, please use our online quotation form, and you may also contact us by
service@kendallscientific.com
+1-888.733.6849 (Toll-free)
+1-617.299.7367 (Int’l))
+1-888.733.6849
Our customer service representatives are available 24 hours, Monday through Friday to assist you.| Reactivity | Human Mouse Rat |
| Tested applications | WB IHC IF |
| Recommended Dilution | WB 1:500 - 1:2000 IHC 1:50 - 1:200 IF 1:50 - 1:100 |
| Calculated MW | 15kDa |
| Observed MW | Refer to figures |
| Immunogen | Recombinant protein of human HIST1H3D |
| Storage Buffer | Store at -20℃. Avoid freeze / thaw cycles. Buffer: PBS with 0.02% sodium azide, 50% glycerol, pH7.3. |
| Synonym | H3/b; H3FB; |

Western blot analysis of extracts of various cell lines, using HIST1H3D antibody.

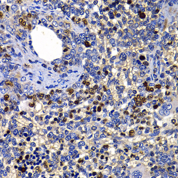
Immunohistochemistry of paraffin-embedded rat spleen using HIST1H3D antibody at dilution of 1:100 (x400 lens).

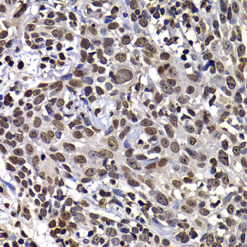
Immunohistochemistry of paraffin-embedded human well-differentiated squamous skin carcinoma using HIST1H3D antibody at dilution of 1:100 (x400 lens).

Immunohistochemistry of paraffin-embedded human kidney using HIST1H3D antibody at dilution of 1:100 (x400 lens).

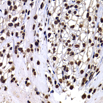
Immunohistochemistry of paraffin-embedded human kidney cancer using HIST1H3D antibody at dilution of 1:100 (x400 lens).

Immunohistochemistry of paraffin-embedded human stomach using HIST1H3D antibody at dilution of 1:100 (x400 lens).

Immunohistochemistry of paraffin-embedded mouse cancer using HIST1H3D antibody at dilution of 1:100 (x400 lens).

Immunofluorescence analysis of U20S cell using HIST1H3D antibody. Blue: DAPI for nuclear staining.
Histones are basic nuclear proteins that are responsible for the nucleosome structure of the chromosomal fiber in eukaryotes. Two molecules of each of the four core histones (H2A, H2B, H3, and H4) form an octamer, around which approximately 146 bp of DNA is wrapped in repeating units, called nucleosomes. The linker histone, H1, interacts with linker DNA between nucleosomes and functions in the compaction of chromatin into higher order structures. This gene is intronless and encodes a member of the histone H3 family. Transcripts from this gene lack polyA tails but instead contain a palindromic termination element. This gene is found in the large histone gene cluster on chromosome 6.
N/A