For quotations, please use our online quotation form, and you may also contact us by
service@kendallscientific.com
+1-888.733.6849 (Toll-free)
+1-617.299.7367 (Int’l))
+1-888.733.6849
Our customer service representatives are available 24 hours, Monday through Friday to assist you.| Reactivity | Human Mouse Rat |
| Tested applications | WB IHC IF |
| Recommended Dilution | WB 1:500 - 1:2000 IHC 1:50 - 1:200 IF 1:50 - 1:200 |
| Calculated MW | 41kDa |
| Observed MW | Refer to Figures |
| Immunogen | Recombinant protein of human HLA-A |
| Storage Buffer | Store at -20℃. Avoid freeze / thaw cycles. Buffer: PBS with 0.02% sodium azide, 50% glycerol, pH7.3. |
| Synonym | FLJ26655; HLAA; |

Western blot analysis of extracts of various cell lines, using HLA-A antibody.

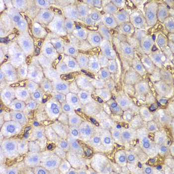
Immunohistochemistry of paraffin-embedded human liver injury using HLA-A antibody at dilution of 1:100 (400x lens).

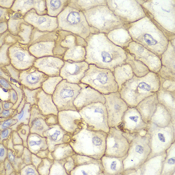
Immunohistochemistry of paraffin-embedded human esophageal using HLA-A antibody at dilution of 1:100 (400x lens).

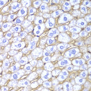
Immunohistochemistry of paraffin-embedded mouse liver using HLA-A antibody at dilution of 1:100 (400x lens).

Immunohistochemistry of paraffin-embedded human liver injury using HLA-A antibody at dilution of 1:100 (400x lens).

Immunohistochemistry of paraffin-embedded human esophageal using HLA-A antibody at dilution of 1:100 (400x lens).

Immunofluorescence analysis of U2OS cell using HLA-A antibody. Blue: DAPI for nuclear staining
Human major histocompatibility complex (MHC) antigens, also referred to as human leukocyte antigens (HLA), are encoded by genes located on the short arm of chromosome 6 (6p21.3). There are two classes of HLA antigens: class I (HLA-A, B and C) and class II (HLA-D). This class I molecules are polymorphic membrane glycoproteins composed of a heavy (alpha) chain (44 kDa) which is encoded by a HLA class I gene (HLA-A, B or C), and β2-microglobulin light (beta) chain (12 kDa). They are involved in the presentation of foreign antigens to the immune system. (PMID: 667938; 3375250)
N/A