For quotations, please use our online quotation form, and you may also contact us by
service@kendallscientific.com
+1-888.733.6849 (Toll-free)
+1-617.299.7367 (Int’l))
+1-888.733.6849
Our customer service representatives are available 24 hours, Monday through Friday to assist you.| Reactivity | Human Mouse Rat |
| Tested applications | WB IHC IF IP RIP |
| Recommended Dilution | WB 1:500 - 1:2000 IHC 1:50 - 1:200 IF 1:50 - 1:200 IP 1:20 - 1:50 RIP 1:20 - 1:50 |
| Calculated MW | 74kDa |
| Observed MW | Refer to Figures |
| Immunogen | Recombinant protein of human HSPA9 |
| Storage Buffer | Store at -20℃. Avoid freeze / thaw cycles. Buffer: PBS with 0.02% sodium azide, 50% glycerol, pH7.3. |
| Concentration | bhj |
| Synonym | HSPA9;CSA;GRP75;HSPA9B;MGC4500;MOT;MOT2;MTHSP75;PBP74;mot-2 |

Western blot analysis of extracts of various cell lines, using HSPA9 antibody.

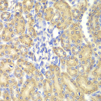
Immunohistochemistry of paraffin-embedded rat kidney using HSPA9 antibody at dilution of 1:200 (400x lens).

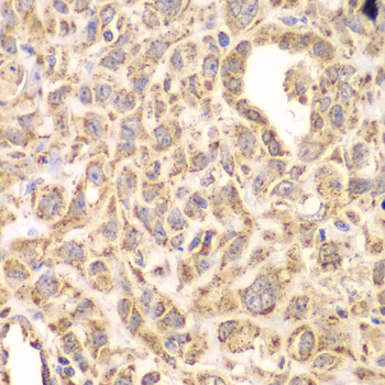
Immunohistochemistry of paraffin-embedded human esophageal cancer using HSPA9 antibody at dilution of 1:200 (400x lens).

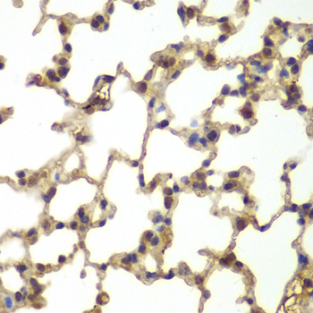
Immunohistochemistry of paraffin-embedded mouse lung using HSPA9 antibody at dilution of 1:200 (400x lens).

Immunofluorescence analysis of U2OS cell using HSPA9 antibody. Blue: DAPI for nuclear staining.
Grp75, also known as mortalin, is a member of Hsp70 family of chaperone proteins that is not heat-inducible (1,2). This protein is essential for transporting many mitochondrial proteins from the cytoplasm to mitochondria (3). Grp75 inactivates the tumor suppressor p53 (4). Studies found that Grp75 is overexpressed in many tumor tissues and immortalized human cell lines, suggesting its role in the tumor formation (5). Grp75 is also implicated in cell aging, as its overexpression appears to prolong the life span of human fibroblasts (6).
N/A