HSPD1-Polyclonal Antibodies

our services
our products
Quotations & Ordering:

For quotations, please use our online quotation form, and you may also contact us by

service@kendallscientific.com

Phone:

+1-888.733.6849 (Toll-free)
+1-617.299.7367 (Int’l))

Fax:

+1-888.733.6849

Our customer service representatives are available 24 hours, Monday through Friday to assist you.

HSPD1

Qty


Total
$220
Catalog #
A0969
Antibody Type
Polyclonal Antibody
Gene ID
3329
Swiss Prot
P10809
Size
Species
Rabbit
Isotype
IgG
Purity
Affinity purification
Additional Information
Reactivity Human Mouse Rat
Tested applications WB IHC IF
Recommended Dilution WB 1:500 - 1:2000 IHC 1:50 - 1:200 IF 1:50 - 1:200
Calculated MW 61kDa
Observed MW Refer to Figures
Immunogen Recombinant protein of human HSPD1
Storage Buffer Store at -20℃. Avoid freeze / thaw cycles. Buffer: PBS with 0.02% sodium azide, 50% glycerol, pH7.3.
Concentration bhj
Synonym HSPD1;CPN60;GROEL;HLD4;HSP60;HSP65;HuCHA60;SPG13 ;
Images
  • A0969: image 1

    Western blot analysis of extracts of various cell lines, using HSPD1 antibody.

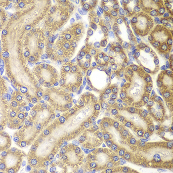
  • A0969: image 2

    Immunohistochemistry of paraffin-embedded rat kidney using HSPD1 antibody at dilution of 1:100 (400x lens).

  • A0969: image 3

    Immunofluorescence analysis of HeLa cell using HSPD1 antibody. Blue: DAPI for nuclear staining.

Background

In both prokaryotic and eukaryotic cells the misfolding and aggregation of proteins during biogenesis and under conditions of cellular stress are prevented by molecular chaperones (1-3). HSP60 has primarily been known as a mitochondrial protein that is important for folding key proteins after import into the mitochondria (4). It is now clear that a significant amount of HSP60 is also present in the cytosol of many cells and that it is induced by stress, inflammatory and immune responses, autoantibodies correlated with Alzheimer's, coronary artery diseases, MS, and diabetes (5-8).

Protocol

N/A

MSDS
Reviews
Kendall Scientific welcomes feedback from its customers.

If you have used an our product and would like to share how it has performed, please click on the "Submit Review" button and provide the requested information.

If you have any additional inquiries please email technical services at info@kendallscientific.com.

Thank you for your support.

promotions


Custom Monoclonal Antibody
MassAb Technologies
Image
Free Trial Custom Polyclonal Antibody
You will receive free purified antibodies for validation
Image
Custom Peptides Synthesis

Start from $40/each

new technologies

Image
Optimized for enhanced
expression levels
XPromoter 2.0
Image
E.coli/insect cells/293 & CHO

3 in 1 expression system
Image
MassAb Technologies

Cover All Epitopes