IDH1-Polyclonal Antibodies

our services
our products
Quotations & Ordering:

For quotations, please use our online quotation form, and you may also contact us by

service@kendallscientific.com

Phone:

+1-888.733.6849 (Toll-free)
+1-617.299.7367 (Int’l))

Fax:

+1-888.733.6849

Our customer service representatives are available 24 hours, Monday through Friday to assist you.

IDH1

Qty


Total
$220
Catalog #
A2169
Antibody Type
Polyclonal Antibody
Gene ID
3417
Swiss Prot
O75874
Size
Species
Rabbit
Isotype
IgG
Purity
Affinity purification
Additional Information
ReactivityHuman Mouse Rat
Tested applicationsWB IHC IF IP CHIP
Recommended DilutionWB 1:500 - 1:2000 IHC 1:50 - 1:200 IF 1:50 - 1:200 IP 1:50 - 1:200 ChIP 1:20 - 1:100
Calculated MW47kDa
Observed MWRefer to Figures
ImmunogenRecombinant protein of human IDH1
Storage BufferStore at -20℃. Avoid freeze / thaw cycles. Buffer: PBS with 0.02% sodium azide, 50% glycerol, pH7.3.
Concentrationf
SynonymIDCD; IDH; IDP; IDPC; PICD;
Images
  • A2169: image 1

    Western blot analysis of extracts of various cell lines, using IDH1 antibody.

  • A2169: image 2

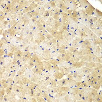
    Immunohistochemistry of paraffin-embedded mouse heart using IDH1 antibody at dilution of 1:100 (400x lens).

  • A2169: image 3

    Immunofluorescence analysis of HeLa cell using IDH1 antibody.

Background

IDH1 is one of three isocitrate dehydrogenases that catalyze the oxidative decarboxylation of isocitrate to α-ketoglutarate (α-KG). These enzymes exist in two distinct subclasses that utilize either NAD or NADP+ respectively, as an electron acceptor (1). IDH1 is the NADP+-dependent isocitrate dehydrogenase found in the cytoplasm and peroxisomes. IDH2 and 3 are mitochodrial enzymes that also function in the Krebs cycle. IDH1 is inactivated by phosphorylation at Ser113 and contains a clasp-like domain wherein both polypeptide chains in the dimer interlock (2,3). IDH1 is expressed in a wide range of species and also in organisms that lack a complete citric acid cycle. Recently, an inactivating mutation of IDH1 has been implicated in glioblastoma (4). IDH1 appears to function as a tumor suppressor that, when mutationally inactivated, contributes to tumorigenesis in part through induction of the HIF-1 pathway (5).

Protocol

N/A

MSDS
Reviews
Kendall Scientific welcomes feedback from its customers.

If you have used an our product and would like to share how it has performed, please click on the "Submit Review" button and provide the requested information.

If you have any additional inquiries please email technical services at info@kendallscientific.com.

Thank you for your support.

promotions

Image

Custom Monoclonal Antibody
MassAb Technologies
Image
Free Trial Custom Polyclonal Antibody
You will receive free purified antibodies for validation
Image
Custom Peptides Synthesis

Start from $40/each

new technologies

Image
Optimized for enhanced
expression levels
XPromoter 2.0
Image
E.coli/insect cells/293 & CHO

3 in 1 expression system
Image
MassAb Technologies

Cover All Epitopes