For quotations, please use our online quotation form, and you may also contact us by
service@kendallscientific.com
+1-888.733.6849 (Toll-free)
+1-617.299.7367 (Int’l))
+1-888.733.6849
Our customer service representatives are available 24 hours, Monday through Friday to assist you.| Reactivity | Human Rat |
| Tested applications | WB IHC |
| Recommended Dilution | WB 1:500 - 1:2000 IHC 1:50 - 1:200 |
| Calculated MW | 45kDa |
| Observed MW | Refer to Figures |
| Immunogen | Recombinant protein of human IL1R2 |
| Storage Buffer | Store at -20℃. Avoid freeze / thaw cycles. Buffer: PBS with 0.02% sodium azide, 50% glycerol, pH7.3. |
| Concentration | p |
| Synonym | IL1RB; CD121b; IL1R2c; CDw121b; IL-1R-2; IL-1RT2; IL-1RT-2; |

Western blot analysis of extracts of various cell lines, using IL1R2 antibody.

Immunohistochemistry of paraffin-embedded human thyroid cancer using IL1R2 antibody at dilution of 1:100 (x400 lens).

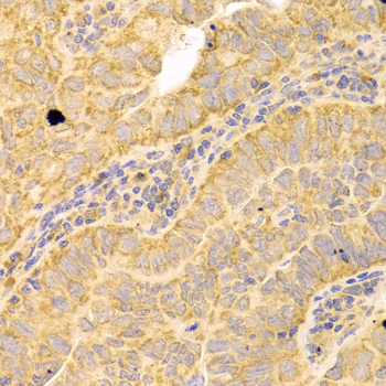
Immunohistochemistry of paraffin-embedded human endometrial cancer using IL1R2 antibody at dilution of 1:100 (x400 lens).
The protein encoded by this gene is a cytokine receptor that belongs to the interleukin 1 receptor family. This protein binds interleukin alpha (IL1A), interleukin beta (IL1B), and interleukin 1 receptor, type I(IL1R1/IL1RA), and acts as a decoy receptor that inhibits the activity of its ligands. Interleukin 4 (IL4) is reported to antagonize the activity of interleukin 1 by inducing the expression and release of this cytokine. This gene and three other genes form a cytokine receptor gene cluster on chromosome 2q12. Alternative splicing results in multiple transcript variants and protein isoforms. Alternative splicing produces both membrane-bound and soluble proteins. A soluble protein is also produced by proteolytic cleavage.
N/A