IL21-Polyclonal Antibodies

our services
our products
Quotations & Ordering:

For quotations, please use our online quotation form, and you may also contact us by

service@kendallscientific.com

Phone:

+1-888.733.6849 (Toll-free)
+1-617.299.7367 (Int’l))

Fax:

+1-888.733.6849

Our customer service representatives are available 24 hours, Monday through Friday to assist you.

IL21

Qty


Total
$220
Catalog #
A7235
Antibody Type
Polyclonal Antibody
Gene ID
59067
Swiss Prot
Q9HBE4
Size
Species
Rabbit
Isotype
IgG
Purity
Affinity purification
Additional Information
ReactivityHuman Mouse Rat
Tested applicationsWB IHC IF
Recommended DilutionWB 1:500 - 1:2000 IHC 1:50 - 1:200 IF 1:50 - 1:200
Calculated MW18kDa
Observed MWRefer to figures
ImmunogenRecombinant protein of human IL21
Storage BufferStore at -20℃. Avoid freeze / thaw cycles. Buffer: PBS with 0.02% sodium azide, 50% glycerol, pH7.3.
SynonymZa11; IL-21; CVID11;
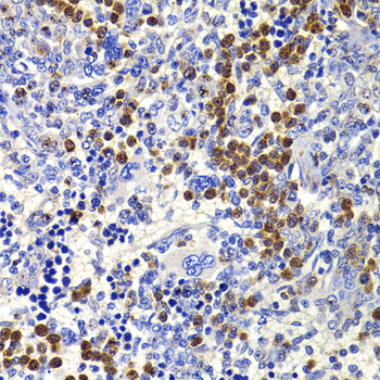
Images
  • A7235: image 1

    Western blot analysis of extracts of various cells, using IL21 antibody.

  • A7235: image 2

    Immunohistochemistry of paraffin-embedded rat spleen using IL21 antibody at dilution of 1:100 (x40 lens).

  • A7235: image 3

    Immunofluorescence analysis of HeLa cell using IL21 antibody. Blue: DAPI for nuclear staining.

Background

This gene encodes a member of the common-gamma chain family of cytokines with immunoregulatory activity. The encoded protein plays a role in both the innate and adaptive immune responses by inducing the differentiation, proliferation and activity of multiple target cells including macrophages, natural killer cells, B cells and cytotoxic T cells. Dysregulation of this gene plays a role in multiple immune-mediated diseases including lupus, psoriasis and chronic inflammatory diseases. Alternatively spliced transcript variants encoding multiple isoforms have been observed for this gene.

Protocol

N/A

MSDS
Reviews
Kendall Scientific welcomes feedback from its customers.

If you have used an our product and would like to share how it has performed, please click on the "Submit Review" button and provide the requested information.

If you have any additional inquiries please email technical services at info@kendallscientific.com.

Thank you for your support.

promotions

Image

Custom Monoclonal Antibody
MassAb Technologies
Image
Free Trial Custom Polyclonal Antibody
You will receive free purified antibodies for validation
Image
Custom Peptides Synthesis

Start from $40/each

new technologies

Image
Optimized for enhanced
expression levels
XPromoter 2.0
Image
E.coli/insect cells/293 & CHO

3 in 1 expression system
Image
MassAb Technologies

Cover All Epitopes