For quotations, please use our online quotation form, and you may also contact us by
service@kendallscientific.com
+1-888.733.6849 (Toll-free)
+1-617.299.7367 (Int’l))
+1-888.733.6849
Our customer service representatives are available 24 hours, Monday through Friday to assist you.| Reactivity | Human Mouse Rat |
| Tested applications | WB IHC IF |
| Recommended Dilution | WB 1:500 - 1:2000 IHC 1:50 - 1:200 IF 1:50 - 1:100 |
| Calculated MW | 39kDa |
| Observed MW | Refer to figures |
| Immunogen | Recombinant protein of human IRF2 |
| Storage Buffer | Store at -20℃. Avoid freeze / thaw cycles. Buffer: PBS with 0.02% sodium azide, 50% glycerol, pH7.3. |
| Concentration | k |
| Synonym | IRF-2; |

Western blot analysis of extracts of various cells, using IRF2 antibody.

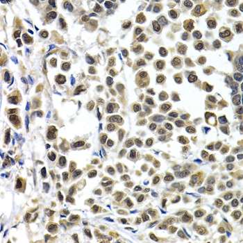
Immunohistochemistry of paraffin-embedded human breast cancer using IRF2 antibody at dilution of 1:200 (400x lens).

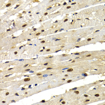
Immunohistochemistry of paraffin-embedded rat heart using IRF2 antibody at dilution of 1:200 (400x lens).

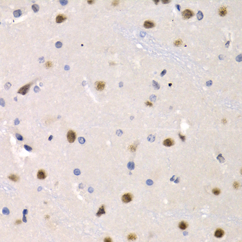
Immunohistochemistry of paraffin-embedded rat brain using IRF2 antibody at dilution of 1:200 (400x lens).

Immunohistochemistry of paraffin-embedded human stomach cancer using IRF2 antibody at dilution of 1:200 (400x lens).

Immunofluorescence analysis of HeLa cell using IRF2 antibody. Blue: DAPI for nuclear staining.
IRF2 encodes interferon regulatory factor 2, a member of the interferon regulatory transcription factor (IRF) family. IRF2 competitively inhibits the IRF1-mediated transcriptional activation of interferons alpha and beta, and presumably other genes that employ IRF1 for transcription activation. However, IRF2 also functions as a transcriptional activator of histone H4.
N/A