KCNQ1-Polyclonal Antibodies

our services
our products
Quotations & Ordering:

For quotations, please use our online quotation form, and you may also contact us by

service@kendallscientific.com

Phone:

+1-888.733.6849 (Toll-free)
+1-617.299.7367 (Int’l))

Fax:

+1-888.733.6849

Our customer service representatives are available 24 hours, Monday through Friday to assist you.

KCNQ1

Qty


Total
$220
Catalog #
A2174
Antibody Type
Polyclonal Antibody
Gene ID
3784
Swiss Prot
P51787
Size
Species
Rabbit
Isotype
IgG
Purity
Affinity purification
Additional Information
ReactivityHuman Mouse Rat
Tested applicationsWB IHC
Recommended DilutionWB 1:500 - 1:2000 IHC 1:50 - 1:200
Calculated MW61kDa
Observed MWRefer to Figures
ImmunogenRecombinant protein of human KCNQ1
Storage BufferStore at -20℃. Avoid freeze / thaw cycles. Buffer: PBS with 0.02% sodium azide, 50% glycerol, pH7.3.
Concentrationg
SynonymKCNQ1; ATFB1; ATFB3; JLNS1; KCNA8; KCNA9; KVLQT1; Kv1.9; Kv7.1; LQT; LQT1; RWS; SQT2; WRS;
Images
  • A2174: image 1

    Western blot analysis of extracts of various cell lines, using KCNQ1 antibody.

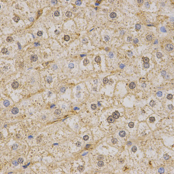
  • A2174: image 2

    Immunohistochemistry of paraffin-embedded human liver using KCNQ1 antibody at dilution of 1:200 (x400 lens)

Background

KCNQ1 is a protein for a voltage-gated potassium channel required for the repolarization phase of the cardiac action potential. The gene product can form heteromultimers with two other potassium channel proteins, KCNE1 and KCNE3.

Protocol

N/A

MSDS
Reviews
Kendall Scientific welcomes feedback from its customers.

If you have used an our product and would like to share how it has performed, please click on the "Submit Review" button and provide the requested information.

If you have any additional inquiries please email technical services at info@kendallscientific.com.

Thank you for your support.

promotions

Image

Custom Monoclonal Antibody
MassAb Technologies
Image
Free Trial Custom Polyclonal Antibody
You will receive free purified antibodies for validation
Image
Custom Peptides Synthesis

Start from $40/each

new technologies

Image
Optimized for enhanced
expression levels
XPromoter 2.0
Image
E.coli/insect cells/293 & CHO

3 in 1 expression system
Image
MassAb Technologies

Cover All Epitopes