For quotations, please use our online quotation form, and you may also contact us by
service@kendallscientific.com
+1-888.733.6849 (Toll-free)
+1-617.299.7367 (Int’l))
+1-888.733.6849
Our customer service representatives are available 24 hours, Monday through Friday to assist you.| Reactivity | Human Mouse Rat |
| Tested applications | WB IHC |
| Recommended Dilution | WB 1:500 - 1:2000 IHC 1:50 - 1:200 |
| Calculated MW | 32kDa |
| Observed MW | Refer to Figures |
| Immunogen | A synthetic peptide of human KLK5 |
| Storage Buffer | Store at -20℃. Avoid freeze / thaw cycles. Buffer: PBS with 0.02% sodium azide, 50% glycerol, pH7.3. |
| Synonym | SCTE; KLKL2; KLK-L2 |

Western blot analysis of extracts of various cells, using KLK5 antibody.

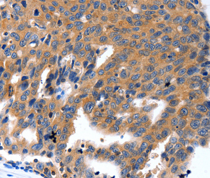
Immunohistochemistry of paraffin-embedded human ovarian cancer tissue using KLK5 antibody.

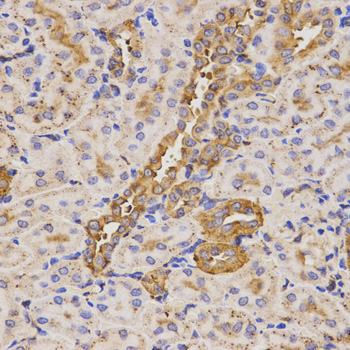
Immunohistochemistry of paraffin-embedded rat kidney tissue using KLK5 antibody at dilution of 1:200 (x40 lens)

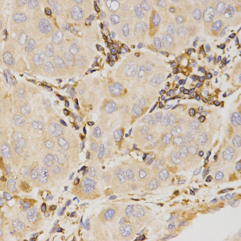
Immunohistochemistry of paraffin-embedded human liver cancer tissue using KLK5 antibody at dilution of 1:200 (x40 lens)
Kallikreins are a subgroup of serine proteases having diverse physiological functions. Growing evidence suggests that many kallikreins are implicated in carcinogenesis and some have potential as novel cancer and other disease biomarkers. This gene is one of the fifteen kallikrein subfamily members located in a cluster on chromosome 19. Its expression is up-regulated by estrogens and progestins. The encoded protein is secreted and may be involved in desquamation in the epidermis. Alternative splicing results in multiple transcript variants encoding the same protein.
N/A