For quotations, please use our online quotation form, and you may also contact us by
service@kendallscientific.com
+1-888.733.6849 (Toll-free)
+1-617.299.7367 (Int’l))
+1-888.733.6849
Our customer service representatives are available 24 hours, Monday through Friday to assist you.| Reactivity | Human Mouse Rat |
| Tested applications | WB IHC IF |
| Recommended Dilution | WB 1:500 - 1:2000 IHC 1:50 - 1:200 IF 1:50 - 1:200 |
| Calculated MW | 60kDa |
| Observed MW | Refer to Figures |
| Immunogen | Recombinant protein of human KPNA1 |
| Storage Buffer | Store at -20℃. Avoid freeze / thaw cycles. Buffer: PBS with 0.02% sodium azide, 50% glycerol, pH7.3. |
| Synonym | RCH2; SRP1; IPOA5; NPI-1; |

Western blot analysis of extracts of various cell lines, using KPNA1 antibody.

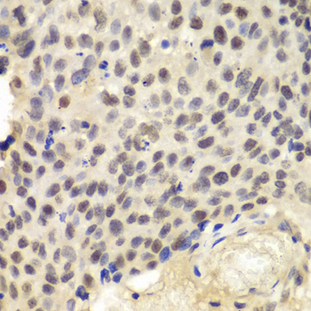
Immunohistochemistry of paraffin-embedded human lung cancer using KPNA1 antibody at dilution of 1:100 (400x lens).

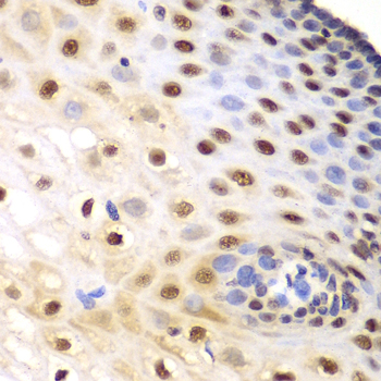
Immunohistochemistry of paraffin-embedded human esophageal using KPNA1 antibody at dilution of 1:100 (400x lens).

Immunofluorescence analysis of U2OS cell using KPNA1 antibody. Blue: DAPI for nuclear staining.

Immunofluorescence analysis of A549 cell using KPNA1 antibody.
The transport of molecules between the nucleus and the cytoplasm in eukaryotic cells is mediated by the nuclear pore complex (NPC), which consists of 60-100 proteins. Small molecules (up to 70 kD) can pass through the nuclear pore by nonselective diffusion while larger molecules are transported by an active process. The protein encoded by this gene belongs to the importin alpha family, and is involved in nuclear protein import. This protein interacts with the recombination activating gene 1 (RAG1) protein and is a putative substrate of the RAG1 ubiquitin ligase. Alternative splicing results in multiple transcript variants. [provided by RefSeq, Nov 2012]
N/A