For quotations, please use our online quotation form, and you may also contact us by
service@kendallscientific.com
+1-888.733.6849 (Toll-free)
+1-617.299.7367 (Int’l))
+1-888.733.6849
Our customer service representatives are available 24 hours, Monday through Friday to assist you.| Reactivity | Human Mouse Rat |
| Tested applications | WB IHC IF |
| Recommended Dilution | WB 1:500 - 1:2000 IHC 1:50 - 1:200 IF 1:50 - 1:200 |
| Calculated MW | 57kDa |
| Observed MW | Refer to Figures |
| Immunogen | Recombinant protein of human KPNA4 |
| Storage Buffer | Store at -20℃. Avoid freeze / thaw cycles. Buffer: PBS with 0.02% sodium azide, 50% glycerol, pH7.3. |
| Synonym | QIP1; SRP3; IPOA3; |

Western blot analysis of extracts of various cell lines, using KPNA4 antibody.

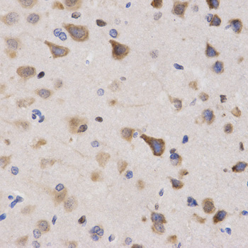
Immunohistochemistry of paraffin-embedded rat brain tissue using KPNA4 antibody at dilution of 1:200 (x400 lens).

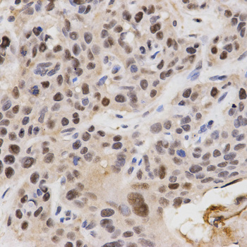
Immunohistochemistry of paraffin-embedded human esophageal cancer tissue using KPNA4 antibody at dilution of 1:200 (x400 lens).

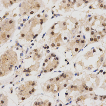
Immunohistochemistry of paraffin-embedded human stomach tissue using KPNA4 antibody at dilution of 1:200 (x400 lens).

Immunohistochemistry of paraffin-embedded Human colon using KPNA4 antibody at dilution of 1:100 (x400 lens).

Immunohistochemistry of paraffin-embedded Human esophageal using KPNA4 antibody at dilution of 1:100 (x400 lens).

Immunohistochemistry of paraffin-embedded Human gastric cancer using KPNA4 antibody at dilution of 1:100 (x400 lens).

Immunohistochemistry of paraffin-embedded Rat heart using KPNA4 antibody at dilution of 1:100 (x400 lens).

Immunohistochemistry of paraffin-embedded Rat liver using KPNA4 antibody at dilution of 1:100 (x400 lens).

Immunofluorescence analysis of U2OS cell using KPNA4 antibody. Blue: DAPI for nuclear staining.
The nuclear import of karyophilic proteins is directed by short amino acid sequences termed nuclear localization signals (NLSs). Karyopherins, or importins, are cytoplasmic proteins that recognize NLSs and dock NLS-containing proteins to the nuclear pore complex. The protein encoded by this gene shares the sequence similarity with Xenopus importin-alpha and Saccharomyces cerevisiae Srp1. This protein is found to interact with the NLSs of DNA helicase Q1 and SV40 T antigen.
N/A