For quotations, please use our online quotation form, and you may also contact us by
service@kendallscientific.com
+1-888.733.6849 (Toll-free)
+1-617.299.7367 (Int’l))
+1-888.733.6849
Our customer service representatives are available 24 hours, Monday through Friday to assist you.| Reactivity | Human Mouse Rat |
| Tested applications | WB IHC IF |
| Recommended Dilution | WB 1:500 - 1:2000 IHC 1:50 - 1:200 IF 1:50 - 1:200 |
| Calculated MW | 40kDa |
| Observed MW | Refer to Figures |
| Immunogen | Recombinant protein of human KRT19 |
| Storage Buffer | Store at -20℃. Avoid freeze / thaw cycles. Buffer: PBS with 0.02% sodium azide, 50% glycerol, pH7.3. |
| Synonym | KRT19 ; K1CS; CK19; K19; CK 19; Cytokeratin 19 |

Western blot analysis of extracts from mouse stomach tissue, using KRT19 antibody.

Immunohistochemistry of paraffin-embedded rat kidney using KRT19 antibody at dilution of 1:100 (400x lens).

Immunohistochemistry of paraffin-embedded human liver cancer using KRT19 antibody at dilution of 1:100 (400x lens).

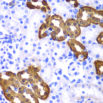
Immunohistochemistry of paraffin-embedded mouse kidney using KRT19 antibody at dilution of 1:100 (400x lens).

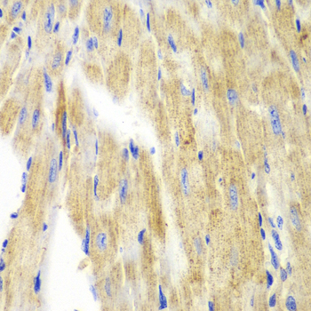
Immunohistochemistry of paraffin-embedded mouse heart using KRT19 antibody at dilution of 1:100 (400x lens).
Keratins (cytokeratins) are intermediate filament proteins that are mainly expressed in epithelial cells. Keratin heterodimers composed of an acidic keratin (or type I keratin, keratins 9 to 23) and a basic keratin (or type II keratin, keratins 1 to 8) assemble to form filaments (1,2). Keratin isoforms demonstrate tissue- and differentiation-specific profiles that make them useful as biomarkers (1). Mutations in keratin genes are associated with skin disorders, liver and pancreatic diseases, and inflammatory intestinal diseases (3-6).Keratin 7 and Keratin 19 have been shown to be present in hepatic and pancreatic progenitor/stem cells (7,8).
N/A