For quotations, please use our online quotation form, and you may also contact us by
service@kendallscientific.com
+1-888.733.6849 (Toll-free)
+1-617.299.7367 (Int’l))
+1-888.733.6849
Our customer service representatives are available 24 hours, Monday through Friday to assist you.| Reactivity | Human Mouse Rat |
| Tested applications | WB IHC IF |
| Recommended Dilution | WB 1:500 - 1:2000 IHC 1:50 - 1:200 IF 1:50 - 1:200 |
| Calculated MW | 62kDa |
| Observed MW | Refer to Figures |
| Immunogen | Recombinant protein of human KRT5 |
| Storage Buffer | Store at -20℃. Avoid freeze / thaw cycles. Buffer: PBS with 0.02% sodium azide, 50% glycerol, pH7.3. |
| Synonym | K5; CK5; DDD; EBS2; KRT5A; |

Western blot analysis of extracts of various cell lines, using KRT5 antibody.

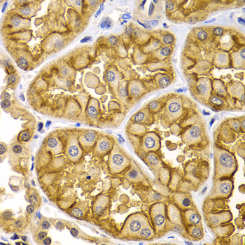
Immunohistochemistry of paraffin-embedded human kidney cancer using KRT5 antibody at dilution of 1:200 (400x lens).

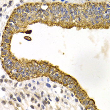
Immunohistochemistry of paraffin-embedded human metrocarcinoma using KRT5 antibody at dilution of 1:200 (400x lens).

Immunofluorescence analysis of HeLa cell using KRT5 antibody
The protein encoded by this gene is a member of the keratin gene family. The type II cytokeratins consist of basic or neutral proteins which are arranged in pairs of heterotypic keratin chains coexpressed during differentiation of simple and stratified epithelial tissues. This type II cytokeratin is specifically expressed in the basal layer of the epidermis with family member KRT14. Mutations in these genes have been associated with a complex of diseases termed epidermolysis bullosa simplex. The type II cytokeratins are clustered in a region of chromosome 12q12-q13.
N/A