For quotations, please use our online quotation form, and you may also contact us by
service@kendallscientific.com
+1-888.733.6849 (Toll-free)
+1-617.299.7367 (Int’l))
+1-888.733.6849
Our customer service representatives are available 24 hours, Monday through Friday to assist you.| Reactivity | Human Mouse Rat |
| Tested applications | WB IHC ICC IF |
| Recommended Dilution | WB 1:500 - 1:2000 IHC 1:50 - 1:200 ICC 1:50 - 1:100 IF 1:50 - 1:200 |
| Calculated MW | 54kDa |
| Observed MW | Refer to Figures |
| Immunogen | Recombinant protein of human KRT8 |
| Storage Buffer | Store at -20℃. Avoid freeze / thaw cycles. Buffer: PBS with 0.02% sodium azide, 50% glycerol, pH7.3. |
| Synonym | KRT8;CARD2;CK8;CYK8;K2C8;K8;KO ; |

Western blot analysis of extracts of various cell lines, using KRT8 antibody.

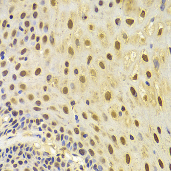
Immunohistochemistry of paraffin-embedded human esophageal using KRT8 antibody at dilution of 1:100 (x400 lens).

Immunofluorescence analysis of HeLa cell using KRT8 antibody. Blue: DAPI for nuclear staining.

Immunofluorescence analysis of A549 cell using KRT8 antibody. Blue: DAPI for nuclear staining.
Keratins (cytokeratins) are intermediate filament proteins that are mainly expressed in epithelial cells. Keratin heterodimers composed of an acidic keratin (or type I keratin, keratins 9 to 23) and a basic keratin (or type II keratin, keratins 1 to 8) assemble to form filaments (1,2). Keratin isoforms demonstrate tissue- and differentiation-specific profiles that make them useful as biomarkers (1). Research studies have shown that mutations in keratin genes are associated with skin disorders, liver and pancreatic diseases, and inflammatory intestinal diseases (3-6).
N/A