For quotations, please use our online quotation form, and you may also contact us by
service@kendallscientific.com
+1-888.733.6849 (Toll-free)
+1-617.299.7367 (Int’l))
+1-888.733.6849
Our customer service representatives are available 24 hours, Monday through Friday to assist you.| Reactivity | Human Mouse Rat |
| Tested applications | WB IHC IF |
| Recommended Dilution | WB 1:500 - 1:2000 IHC 1:50 - 1:200 IF 1:50 - 1:200 |
| Calculated MW | 44kDa |
| Observed MW | Refer to Figures |
| Immunogen | Recombinant protein of human LAMP1 |
| Storage Buffer | Store at -20℃. Avoid freeze / thaw cycles. Buffer: PBS with 0.02% sodium azide, 50% glycerol, pH7.3. |
| Concentration | c |
| Synonym | LAMPA; CD107a; LGP120; |

Western blot analysis of extracts of various cell lines, using LAMP1 antibody.

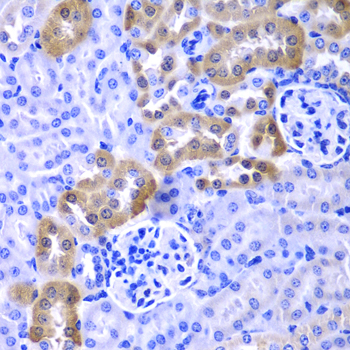
Immunohistochemistry of paraffin-embedded human liver cancer using LAMP1 antibody at dilution of 1:100 (x400 lens).

Immunohistochemistry of paraffin-embedded mouse kidney using LAMP1 antibody at dilution of 1:100 (400x lens).

Immunofluorescence analysis of HeLa cell using LAMP1 antibody. Blue: DAPI for nuclear stainin.
The protein encoded by this gene is a member of a family of membrane glycoproteins. This glycoprotein provides selectins with carbohydrate ligands. It may also play a role in tumor cell metastasis.
N/A