For quotations, please use our online quotation form, and you may also contact us by
service@kendallscientific.com
+1-888.733.6849 (Toll-free)
+1-617.299.7367 (Int’l))
+1-888.733.6849
Our customer service representatives are available 24 hours, Monday through Friday to assist you.| Reactivity | Human Mouse Rat |
| Tested applications | WB IHC |
| Recommended Dilution | WB 1:500 - 1:2000 IHC 1:50 - 1:100 |
| Calculated MW | 44kDa |
| Observed MW | Refer to Figures |
| Immunogen | A synthetic peptide of human LAMP3 |
| Storage Buffer | Store at -20℃. Avoid freeze / thaw cycles. Buffer: PBS with 0.02% sodium azide, 50% glycerol, pH7.3. |
| Synonym | LAMP; CD208; DCLAMP; LAMP-3;TSC403; DC LAMP; DC-LAMP; |

Western blot analysis of extracts of HT-29 cell line, using LAMP3 antibody.

Immunohistochemistry of paraffin-embedded human thyroid cancer tissue using LAMP3 antibody.

Immunohistochemistry of paraffin-embedded rat brain tissue using LAMP3 antibody at dilution of 1:200 (x400 lens).

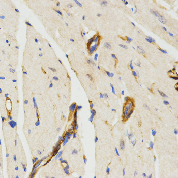
Immunohistochemistry of paraffin-embedded mouse heart tissue using LAMP3 antibody at dilution of 1:200 (x400 lens).

Immunohistochemistry of paraffin-embedded liver cancer using LAMP3 antibody at dilution of 1:100 (x400 lens).

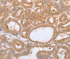
Immunohistochemistry of paraffin-embedded Rat kidney using LAMP3 antibody at dilution of 1:100 (x400 lens).
Lysosome-associated membrane glycoprotein 3 is a protein that in humans is encoded by the LAMP3 gene. LAMP3 has also recently been designated CD208. Dendritic cells (DCs) are the most potent antigen-presenting cells. Immature DCs efficiently capture antigens and differentiate into interdigitating dendritic cells (IDCs) in lymphoid tissues that induce primary T-cell responses .May play a role in dendritic cell function and in adaptive immunity.
N/A