For quotations, please use our online quotation form, and you may also contact us by
service@kendallscientific.com
+1-888.733.6849 (Toll-free)
+1-617.299.7367 (Int’l))
+1-888.733.6849
Our customer service representatives are available 24 hours, Monday through Friday to assist you.| Reactivity | Human Mouse Rat |
| Tested applications | WB IHC IF |
| Recommended Dilution | WB 1:500 - 1:2000 IHC 1:50 - 1:200 IF 1:50 - 1:200 |
| Calculated MW | 42kDa |
| Observed MW | Refer to Figures |
| Immunogen | Recombinant protein of human LETMD1 |
| Storage Buffer | Store at -20℃. Avoid freeze / thaw cycles. Buffer: PBS with 0.02% sodium azide, 50% glycerol, pH7.3. |
| Synonym | HCCR1; HCCR-1; HCCR-2; HCRR-2; 1110019O13Rik; |

Western blot analysis of extracts of various cell lines, using LETMD1 antibody.

Immunohistochemistry of paraffin-embedded human kidney cancer using LETMD1 antibody at dilution of 1:200 (x40 lens)

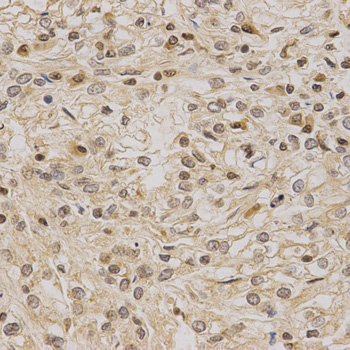
Immunohistochemistry of paraffin-embedded human liver injury using LETMD1 antibody at dilution of 1:100 (x40 lens).

Immunohistochemistry of paraffin-embedded rat kidney using LETMD1 antibody at dilution of 1:100 (x40 lens).

Immunofluorescence analysis of MCF7 cell using LETMD1 antibody. Blue: DAPI for nuclear staining.
This gene encodes a mitochondrial outer membrane protein. It has a potential role in tumorigenesis, which may result from negative regulation of the p53 tumor suppressor gene. Alternatively spliced transcript variants have been noted for this gene. [provided by RefSeq, Aug 2011]
N/A