For quotations, please use our online quotation form, and you may also contact us by
service@kendallscientific.com
+1-888.733.6849 (Toll-free)
+1-617.299.7367 (Int’l))
+1-888.733.6849
Our customer service representatives are available 24 hours, Monday through Friday to assist you.| Reactivity | Human Mouse Rat |
| Tested applications | WB IHC IF |
| Recommended Dilution | WB 1:500 - 1:2000 IHC 1:50 - 1:200 IF 1:20 - 1:50 |
| Calculated MW | 26kDa |
| Observed MW | Refer to Figures |
| Immunogen | Recombinant protein of human LGALS3 |
| Storage Buffer | Store at -20℃. Avoid freeze / thaw cycles. Buffer: PBS with 0.02% sodium azide, 50% glycerol, pH7.3. |
| Concentration | j |
| Synonym | CBP35; GAL3; GALBP; GALIG; LGALS2; MAC2; Galectin 3; |

Western blot analysis of extracts of various cell lines, using LGALS3 antibody.

Immunohistochemistry of paraffin-embedded human kidney using LGALS3 antibody at dilution of 1:200 (x40 lens)

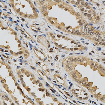
Immunohistochemistry of paraffin-embedded human stomach using LGALS3 antibody at dilution of 1:200 (x40 lens)

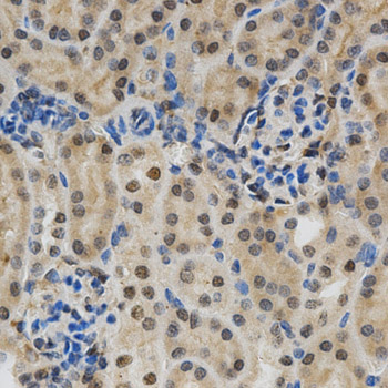
Immunohistochemistry of paraffin-embedded mouse kidney using LGALS3 antibody at dilution of 1:200 (x40 lens)

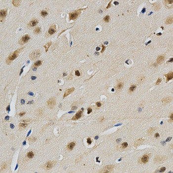
Immunohistochemistry of paraffin-embedded rat brain using LGALS3 antibody at dilution of 1:200 (x40 lens)

Immunofluorescence analysis of MCF7 cell using LGALS3 antibody. Blue: DAPI for nuclear staining.
Galectins are a family of soluble b-galactoside-binding animal lectins that modulate cell-to-cell adhesion and cell-to-extracellular matrix (ECM) inter- actions and play a role in tumor progression, pre-mRNA splicing and apop-tosis. The galectin-3 protein, also known as Mac-2, hMac-2, GALBP, CBP35 or LGALS3, contains a single carbohydrate binding domain, which binds galactose-containing glycoconjugates. Galectin-3 is expressed in colonic and intestinal epithelium, inflammatory macrophages, papillary and follicular carcinomas, neoplastic astrocytes and some B and T lymphocytes. Upregulated expression of galectin-3 is involved in cancer progression and metastasis. Galectin-3 mediates the endocytosis of ∫1 Integrins in a lactose-dependent manner and is associated with thyroid malignancy and Crohn’s disease. It may also be used as a marker for diagnosing cases involving Hurthle cell adenomas and carcinomas.
N/A