For quotations, please use our online quotation form, and you may also contact us by
service@kendallscientific.com
+1-888.733.6849 (Toll-free)
+1-617.299.7367 (Int’l))
+1-888.733.6849
Our customer service representatives are available 24 hours, Monday through Friday to assist you.| Reactivity | Human Mouse |
| Tested applications | WB IHC |
| Recommended Dilution | WB 1:500 - 1:2000 IHC 1:50 - 1:200 |
| Calculated MW | 43kDa |
| Observed MW | Refer to figures |
| Immunogen | Recombinant protein of human LHX4 |
| Storage Buffer | Store at -20℃. Avoid freeze / thaw cycles. Buffer: PBS with 0.02% sodium azide, 50% glycerol, pH7.3. |
| Synonym | CPHD4; |

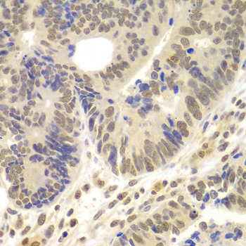
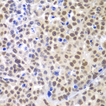
Immunohistochemistry of paraffin-embedded human colon carcinoma using LHX4 antibody at dilution of 1:100 (x400 lens).

Immunohistochemistry of paraffin-embedded human oophoroma using LHX4 antibody at dilution of 1:100 (x400 lens).

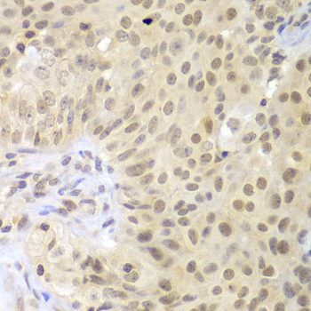
Immunohistochemistry of paraffin-embedded human kidney cancer using LHX4 antibody at dilution of 1:100 (x400 lens).

Immunohistochemistry of paraffin-embedded human gastric cancer using LHX4 antibody at dilution of 1:100 (x400 lens).

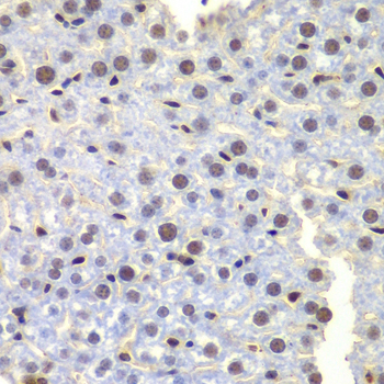
Immunohistochemistry of paraffin-embedded mouse liver using LHX4 antibody at dilution of 1:100 (x400 lens).

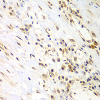
Immunohistochemistry of paraffin-embedded mouse cancer using LHX4 antibody at dilution of 1:100 (x400 lens).
This gene encodes a member of a large protein family which contains the LIM domain, a unique cysteine-rich zinc-binding domain. The encoded protein is a transcription factor involved in the control of differentiation and development of the pituitary gland. Mutations in this gene cause combined pituitary hormone deficiency 4.
N/A