For quotations, please use our online quotation form, and you may also contact us by
service@kendallscientific.com
+1-888.733.6849 (Toll-free)
+1-617.299.7367 (Int’l))
+1-888.733.6849
Our customer service representatives are available 24 hours, Monday through Friday to assist you.| Reactivity | Human |
| Tested applications | WB IHC IF |
| Recommended Dilution | WB 1:500 - 1:2000 IHC 1:50 - 1:200 IF 1:50 - 1:200 |
| Calculated MW | 56kDa |
| Observed MW | Refer to Figures |
| Immunogen | Recombinant protein of human LIPC |
| Storage Buffer | Store at -20℃. Avoid freeze / thaw cycles. Buffer: PBS with 0.02% sodium azide, 50% glycerol, pH7.3. |
| Synonym | HL; HTGL; LIPH; HDLCQ12; LIPC; |

Western blot analysis of extracts of various cell lines, using LIPC antibody.

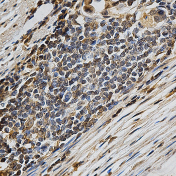
Immunohistochemistry of paraffin-embedded human colon cancer using LIPC antibody at dilution of 1:200 (x400 lens).

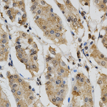
Immunohistochemistry of paraffin-embedded human stomach using LIPC antibody at dilution of 1:200 (x400 lens).

Immunofluorescence analysis of MCF7 cell using LIPC antibody. Blue: DAPI for nuclear staining.

Immunofluorescence analysis of A549 cell using LIPC antibody. Blue: DAPI for nuclear staining.
LIPC, also named as HTGL and HL, belongs to the AB hydrolase superfamily and Lipase family. It has the capacity to catalyze hydrolysis of phospholipids, mono-, di-, and triglycerides, and acyl-CoA thioesters. LIPC is an important enzyme in HDL metabolism. It binds heparin.
N/A