LYN-Polyclonal Antibodies

our services
our products
Quotations & Ordering:

For quotations, please use our online quotation form, and you may also contact us by

service@kendallscientific.com

Phone:

+1-888.733.6849 (Toll-free)
+1-617.299.7367 (Int’l))

Fax:

+1-888.733.6849

Our customer service representatives are available 24 hours, Monday through Friday to assist you.

LYN

Qty


Total
$220
Catalog #
A2093
Antibody Type
Polyclonal Antibody
Gene ID
4067
Swiss Prot
P07948
Size
Species
Rabbit
Isotype
IgG
Purity
Affinity purification
Additional Information
ReactivityHuman Mouse Rat
Tested applicationsWB IHC
Recommended DilutionWB 1:500 - 1:2000 IHC 1:50 - 1:200
Calculated MW59kDa
Observed MWRefer to Figures
ImmunogenRecombinant protein of human LYN
Storage BufferStore at -20℃. Avoid freeze / thaw cycles. Buffer: PBS with 0.02% sodium azide, 50% glycerol, pH7.3.
SynonymFLJ26625; JTK8;
Images
  • A2093: image 1

    Western blot analysis of extracts of various cell lines, using LYN antibody.

  • A2093: image 2

    Immunohistochemistry of paraffin-embedded human gastric using Lyn antibody at dilution of 1:100 (x400 lens).

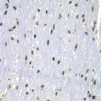
  • A2093: image 3

    Immunohistochemistry of paraffin-embedded mouse brain using Lyn antibody at dilution of 1:100 (x400 lens).

Background

Lyn, one of the Src family members, is predominantly expressed in hematopoietic cells (1). Two tyrosine residues have been reported to play a crucial role in the regulation of protein tyrosine kinases of the Src family. Autophosphorylation of Tyr396 (equivalent to Tyr416 of Src), located in the catalytic domain, correlates with enzyme activation. Csk-mediated phosphorylation of the carboxy-terminal Tyr507 (equivalent to Tyr527 of Src) inactivates the kinase. Tyrosine phosphorylation and activation of Lyn occurs upon association with cell surface receptors such as the B cell Ag receptor (BCR) and CD40 (2-4). Studies using knockout mice have shown that the net effect of Lyn deficiency is to render B cells hypersensitive to BCR stimulation (5-7), suggesting that the most critical role for Lyn in vivo is in the down-regulation of B cell responses. Lyn is also involved in controlling the migration and development of specific B cell populations (8).

Protocol

N/A

MSDS
Reviews
Kendall Scientific welcomes feedback from its customers.

If you have used an our product and would like to share how it has performed, please click on the "Submit Review" button and provide the requested information.

If you have any additional inquiries please email technical services at info@kendallscientific.com.

Thank you for your support.

promotions

Image

Custom Monoclonal Antibody
MassAb Technologies
Image
Free Trial Custom Polyclonal Antibody
You will receive free purified antibodies for validation
Image
Custom Peptides Synthesis

Start from $40/each

new technologies

Image
Optimized for enhanced
expression levels
XPromoter 2.0
Image
E.coli/insect cells/293 & CHO

3 in 1 expression system
Image
MassAb Technologies

Cover All Epitopes