For quotations, please use our online quotation form, and you may also contact us by
service@kendallscientific.com
+1-888.733.6849 (Toll-free)
+1-617.299.7367 (Int’l))
+1-888.733.6849
Our customer service representatives are available 24 hours, Monday through Friday to assist you.| Reactivity | Human Mouse Rat |
| Tested applications | WB IHC IF |
| Recommended Dilution | WB 1:500 - 1:2000 IHC 1:50 - 1:200 IF 1:50 - 1:200 |
| Calculated MW | 83kDa |
| Observed MW | Refer to Figures |
| Immunogen | Recombinant protein of human MAD1L1 |
| Storage Buffer | Store at -20℃. Avoid freeze / thaw cycles. Buffer: PBS with 0.02% sodium azide, 50% glycerol, pH7.3. |
| Synonym | MAD1L1;HsMAD1;MAD1;PIG9;TP53I9;TXBP181 ; |

Western blot analysis of extracts of various cell lines, using MAD1L1 antibody.

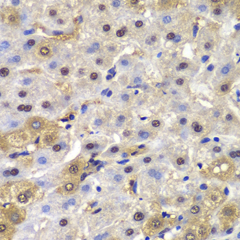
Immunohistochemistry of paraffin-embedded human liver cancer using MAD1L1 antibody at dilution of 1:100 (400x lens).

Immunohistochemistry of paraffin-embedded mouse liver using MAD1L1 antibody at dilution of 1:100 (400x lens).

Immunofluorescence analysis of HeLa cell using MAD1L1 antibody. Blue: DAPI for nuclear staining.

Immunofluorescence analysis of U2OS cell using MAD1L1 antibody.
MAD1L1 is a component of the mitotic spindle-assembly checkpoint that prevents the onset of anaphase until all chromosome are properly aligned at the metaphase plate. MAD1L1 functions as a homodimer and interacts with MAD2L1. MAD1L1 may play a role in cell cycle control and tumor suppression. Three transcript variants encoding the same protein have been found for this gene. [provided by RefSeq, Jul 2008]
N/A