MAP1LC3B-Polyclonal Antibodies

our services
our products
Quotations & Ordering:

For quotations, please use our online quotation form, and you may also contact us by

service@kendallscientific.com

Phone:

+1-888.733.6849 (Toll-free)
+1-617.299.7367 (Int’l))

Fax:

+1-888.733.6849

Our customer service representatives are available 24 hours, Monday through Friday to assist you.

MAP1LC3B

Qty


Total
$220
Catalog #
A7198
Antibody Type
Polyclonal Antibody
Gene ID
81631
Swiss Prot
Q9GZQ8
Size
Species
Rabbit
Isotype
IgG
Purity
Affinity purification
Additional Information
ReactivityHuman Mouse Rat
Tested applicationsWB IHC IF
Recommended DilutionWB 1:500 - 1:2000 IHC 1:50 - 1:200 IF 1:50 - 1:200
Calculated MW14kDa
Observed MWRefer to figures
ImmunogenA synthetic peptide of human MAP1LC3B
Storage BufferStore at -20℃. Avoid freeze / thaw cycles. Buffer: PBS with 0.02% sodium azide, 50% glycerol, pH7.3.
Concentrationch
SynonymLC3B; ATG8F; MAP1LC3B-a; MAP1A/1BLC3;
Images
  • A7198: image 1

    Western blot analysis of extracts of Mouse kidney cell line, using MAP1LC3B antibody.

  • A7198: image 2

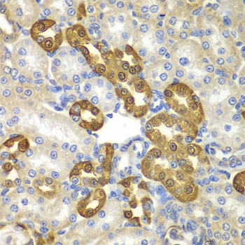
    Immunohistochemistry of paraffin-embedded rat kidney using MAP1LC3B antibody at dilution of 1:100 (x400 lens).

  • A7198: image 3

    Immunofluorescence analysis of U20S cell using MAP1LC3B antibody. Blue: DAPI for nuclear staining.

Background

The product of this gene is a subunit of neuronal microtubule-associated MAP1A and MAP1B proteins, which are involved in microtubule assembly and important for neurogenesis. Studies on the rat homolog implicate a role for this gene in autophagy, a process that involves the bulk degradation of cytoplasmic component.

Protocol

N/A

MSDS
Reviews
Kendall Scientific welcomes feedback from its customers.

If you have used an our product and would like to share how it has performed, please click on the "Submit Review" button and provide the requested information.

If you have any additional inquiries please email technical services at info@kendallscientific.com.

Thank you for your support.

promotions

Image

Custom Monoclonal Antibody
MassAb Technologies
Image
Free Trial Custom Polyclonal Antibody
You will receive free purified antibodies for validation
Image
Custom Peptides Synthesis

Start from $40/each

new technologies

Image
Optimized for enhanced
expression levels
XPromoter 2.0
Image
E.coli/insect cells/293 & CHO

3 in 1 expression system
Image
MassAb Technologies

Cover All Epitopes