MAP2K2-Polyclonal Antibodies

our services
our products
Quotations & Ordering:

For quotations, please use our online quotation form, and you may also contact us by

service@kendallscientific.com

Phone:

+1-888.733.6849 (Toll-free)
+1-617.299.7367 (Int’l))

Fax:

+1-888.733.6849

Our customer service representatives are available 24 hours, Monday through Friday to assist you.

MAP2K2

Qty


Total
$220
Catalog #
A0253
Antibody Type
Polyclonal Antibody
Gene ID
5605
Swiss Prot
P36507
Size
Species
Rabbit
Isotype
IgG
Purity
Affinity purification
Additional Information
Reactivity Human Mouse Rat
Tested applications WB IHC
Recommended Dilution WB 1:500 - 1:2000 IHC 1:50 - 1:200
Calculated MW 44kDa
Observed MW Refer to Figures
Immunogen A synthetic peptide of human MAP2K2
Storage Buffer Store at -20℃. Avoid freeze / thaw cycles. Buffer: PBS with 0.02% sodium azide, 50% glycerol, pH7.3.
Concentration ioq
Synonym MAP2K2;FLJ26075;MAPKK2;MEK2;MKK2;PRKMK2 ;
Images
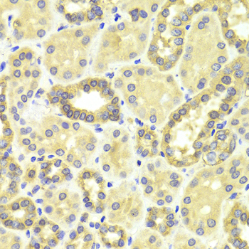
  • A0253: image 1

    Western blot analysis of extracts of mouse brain, using MAP2K2 antibody.

  • A0253: image 2

    Immunohistochemistry of paraffin-embedded human kidney using MAP2K2 antibody at dilution of 1:100 (x400 lens).

Background

MEK1 and MAP2K2, also called MAPK or Erk kinases, are dual-specificity protein kinases that function in a mitogen activated protein kinase cascade controlling cell growth and differentiation (1-3). Activation of MEK1 and MAP2K2 occurs through phosphorylation of two serine residues at positions 217 and 221, located in the activation loop of subdomain VIII, by Raf-like molecules. MEK1/2 is activated by a wide variety of growth factors and cytokines and also by membrane depolarization and calcium influx (1-4). Constitutively active forms of MEK1/2 are sufficient for the transformation of NIH/3T3 cells or the differentiation of PC-12 cells (4). MEK activates p44 and p42 MAP kinase by phosphorylating both threonine and tyrosine residues at sites located within the activation loop of kinase subdomain VIII.

Protocol

N/A

MSDS
Reviews
Kendall Scientific welcomes feedback from its customers.

If you have used an our product and would like to share how it has performed, please click on the "Submit Review" button and provide the requested information.

If you have any additional inquiries please email technical services at info@kendallscientific.com.

Thank you for your support.

promotions


Custom Monoclonal Antibody
MassAb Technologies
Image
Free Trial Custom Polyclonal Antibody
You will receive free purified antibodies for validation
Image
Custom Peptides Synthesis

Start from $40/each

new technologies

Image
Optimized for enhanced
expression levels
XPromoter 2.0
Image
E.coli/insect cells/293 & CHO

3 in 1 expression system
Image
MassAb Technologies

Cover All Epitopes