MAP2K6-Polyclonal Antibodies

our services
our products
Quotations & Ordering:

For quotations, please use our online quotation form, and you may also contact us by

service@kendallscientific.com

Phone:

+1-888.733.6849 (Toll-free)
+1-617.299.7367 (Int’l))

Fax:

+1-888.733.6849

Our customer service representatives are available 24 hours, Monday through Friday to assist you.

MAP2K6

Qty


Total
$220
Catalog #
A2575
Antibody Type
Polyclonal Antibody
Gene ID
5608
Swiss Prot
P52564
Size
Species
Rabbit
Isotype
IgG
Purity
Affinity purification
Additional Information
ReactivityHuman Mouse Rat
Tested applicationsWB IHC IF
Recommended DilutionWB 1:500 - 1:2000 IHC 1:50 - 1:200 IF 1:50 - 1:200
Calculated MW37kD
Observed MWRefer to Figures
ImmunogenRecombinant protein of human MAP2K6
Storage BufferStore at -20℃. Avoid freeze / thaw cycles. Buffer: PBS with 0.02% sodium azide, 50% glycerol, pH7.3.
Concentrationiors
SynonymMAPKK6;MEK6;MKK6;PRKMK6;SAPKK3;
Images
  • A2575: image 1

    Western blot analysis of extracts of HeLa cell line, using MAP2K6 antibody.

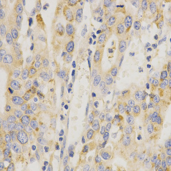
  • A2575: image 2

    Immunohistochemistry of paraffin-embedded human stomach cancer using MAP2K6 antibody at dilution of 1:200 (x400 lens)

  • A2575: image 3

    Immunofluorescence analysis of U2OS cell using MAP2K6 antibody. Blue: DAPI for nuclear staining.

Background

This gene encodes a member of the dual specificity protein kinase family, which functions as a mitogen-activatedprotein (MAP) kinase kinase. MAP kinases, also known as extracellular signal-regulated kinases (ERKs), act as anintegration point for multiple biochemical signals. This protein phosphorylates and activates p38 MAP kinase inresponse to inflammatory cytokines or environmental stress. As an essential component of p38 MAP kinase mediatedsignal transduction pathway, this gene is involved in many cellular processes such as stress induced cell cycle arrest, transcription activation and apoptosis.

Protocol

N/A

MSDS
Reviews
Kendall Scientific welcomes feedback from its customers.

If you have used an our product and would like to share how it has performed, please click on the "Submit Review" button and provide the requested information.

If you have any additional inquiries please email technical services at info@kendallscientific.com.

Thank you for your support.

promotions

Image

Custom Monoclonal Antibody
MassAb Technologies
Image
Free Trial Custom Polyclonal Antibody
You will receive free purified antibodies for validation
Image
Custom Peptides Synthesis

Start from $40/each

new technologies

Image
Optimized for enhanced
expression levels
XPromoter 2.0
Image
E.coli/insect cells/293 & CHO

3 in 1 expression system
Image
MassAb Technologies

Cover All Epitopes