MAP2K7-Polyclonal Antibodies

our services
our products
Quotations & Ordering:

For quotations, please use our online quotation form, and you may also contact us by

service@kendallscientific.com

Phone:

+1-888.733.6849 (Toll-free)
+1-617.299.7367 (Int’l))

Fax:

+1-888.733.6849

Our customer service representatives are available 24 hours, Monday through Friday to assist you.

MAP2K7

Qty


Total
$220
Catalog #
A2186
Antibody Type
Polyclonal Antibody
Gene ID
5609
Swiss Prot
O14733
Size
Species
Rabbit
Isotype
IgG
Purity
Affinity purification
Additional Information
ReactivityHuman Mouse Rat
Tested applicationsWB IHC ICC IF IP
Recommended DilutionWB 1:500 - 1:2000 IHC 1:50 - 1:200 ICC 1:50 - 1:200 IF 1:50 - 1:200 IP 1:20 - 1:100
Calculated MW47kDa
Observed MWRefer to Figures
ImmunogenRecombinant protein of human MAP2K7
Storage BufferStore at -20℃. Avoid freeze / thaw cycles. Buffer: PBS with 0.02% sodium azide, 50% glycerol, pH7.3.
Concentrationos
SynonymMAP2K7; Jnkk2; MAPKK7; MKK7; PRKMK7; SAPKK-4; SAPKK4;
Images
  • A2186: image 1

    Western blot analysis of extracts of various cell lines, using MAP2K7 antibody.

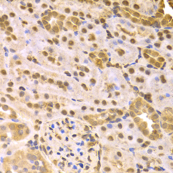
  • A2186: image 2

    Immunohistochemistry of paraffin-embedded rat kidney using MAP2K7 antibody at dilution of 1:100 (x400 lens).

  • A2186: image 3

    Immunofluorescence analysis of U2OS cell using MAP2K7 antibody. Blue: DAPI for nuclear staining.

Background

c-Jun NH2-terminal protein kinase (JNK), a distant member of the mitogen-activated protein (MAP) kinase family, regulates gene expression in response to various extracellular stimuli. MKK7, a novel member of the MAP kinase kinase family, was phosphorylated and activated by MEKK1, a MAP kinase kinase kinase in the JNK signaling cascade. MKK7 activity was also stimulated by constitutively active forms of Rac and Cdc42Hs, members of the Rho small GTP-binding protein family (1). endogenous MKK7 was activated by treatment with the growth factor interleukin-3 (but not interleukin-4), or by ligation of CD40, the B-cell antigen receptor, or the receptor for the Fc fragment of immunoglobulin. MKK7 was also activated when cells were exposed to heat, UV irradiation, anisomycin, hyperosmolarity or the pro-inflammatory cytokine tumor necrosis factor-alpha, suggesting that MKK7 is involved in many physiological pathways (2).

Protocol

N/A

MSDS
Reviews
Kendall Scientific welcomes feedback from its customers.

If you have used an our product and would like to share how it has performed, please click on the "Submit Review" button and provide the requested information.

If you have any additional inquiries please email technical services at info@kendallscientific.com.

Thank you for your support.

promotions

Image

Custom Monoclonal Antibody
MassAb Technologies
Image
Free Trial Custom Polyclonal Antibody
You will receive free purified antibodies for validation
Image
Custom Peptides Synthesis

Start from $40/each

new technologies

Image
Optimized for enhanced
expression levels
XPromoter 2.0
Image
E.coli/insect cells/293 & CHO

3 in 1 expression system
Image
MassAb Technologies

Cover All Epitopes