For quotations, please use our online quotation form, and you may also contact us by
service@kendallscientific.com
+1-888.733.6849 (Toll-free)
+1-617.299.7367 (Int’l))
+1-888.733.6849
Our customer service representatives are available 24 hours, Monday through Friday to assist you.| Reactivity | Human Mouse Rat |
| Tested applications | WB IHC IF |
| Recommended Dilution | WB 1:500 - 1:2000 IHC 1:50 - 1:200 IF 1:10 - 1:100 |
| Calculated MW | 43kDa |
| Observed MW | Refer to Figures |
| Immunogen | A synthetic peptide of human MAPK3 |
| Storage Buffer | Store at -20℃. Avoid freeze / thaw cycles. Buffer: PBS with 0.02% sodium azide, 50% glycerol, pH7.3. |
| Concentration | ioqr |
| Synonym | MAPK3;ERK1;HS44KDAP;HUMKER1A;MGC20180;P44ERK1;P44MAPK;PRKM3 ;Mitogen-activated protein kinase 3 ;p44-ERK1 ; |

Western blot analysis of extracts of various cell lines, using MAPK3 antibody.

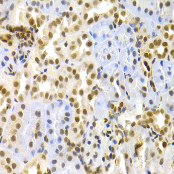
Immunohistochemistry of paraffin-embedded rat kidney using MAPK3 antibody at dilution of 1:100 (x400 lens).

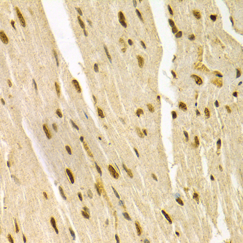
Immunohistochemistry of paraffin-embedded rat heart using MAPK3 antibody at dilution of 1:100 (x400 lens).

Immunohistochemistry of paraffin-embedded human kidney using MAPK3 antibody at dilution of 1:100 (x400 lens).

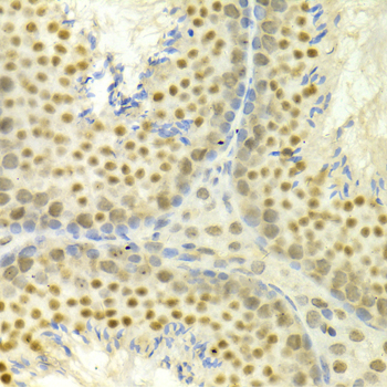
Immunohistochemistry of paraffin-embedded mouse testis using MAPK3 antibody at dilution of 1:100 (x400 lens).

Immunohistochemistry of paraffin-embedded mouse heart using MAPK3 antibody at dilution of 1:100 (x400 lens).

Immunofluorescence analysis of U2OS cell using MAPK3 antibody. Blue: DAPI for nuclear staining.
The protein encoded by this gene is a member of the MAP kinase family. MAP kinases, also known as extracellular signal-regulated kinases (ERKs), act in a signaling cascade that regulates various cellular processes such as proliferation, differentiation, and cell cycle progression in response to a variety of extracellular signals. This kinase is activated by upstream kinases, resulting in its translocation to the nucleus where it phosphorylates nuclear targets. Alternatively spliced transcript variants encoding different protein isoforms have been described.
N/A