MAPK7-Polyclonal Antibodies

our services
our products
Quotations & Ordering:

For quotations, please use our online quotation form, and you may also contact us by

service@kendallscientific.com

Phone:

+1-888.733.6849 (Toll-free)
+1-617.299.7367 (Int’l))

Fax:

+1-888.733.6849

Our customer service representatives are available 24 hours, Monday through Friday to assist you.

MAPK7

Qty


Total
$220
Catalog #
A2111
Antibody Type
Polyclonal Antibody
Gene ID
5598
Swiss Prot
Q13164
Size
Species
Rabbit
Isotype
IgG
Purity
Affinity purification
Additional Information
ReactivityHuman Mouse Rat
Tested applicationsWB IHC IF
Recommended DilutionWB 1:500 - 1:2000 IHC 1:50 - 1:200 IF 1:50 - 1:200
Calculated MW89kDa
Observed MWRefer to Figures
ImmunogenRecombinant protein of human MAPK7
Storage BufferStore at -20℃. Avoid freeze / thaw cycles. Buffer: PBS with 0.02% sodium azide, 50% glycerol, pH7.3.
Concentrationao
SynonymBMK1; ERK4; ERK5; PRKM7;
Images
  • A2111: image 1

    Western blot analysis of extracts of various cell lines, using MAPK7 antibody.

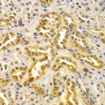
  • A2111: image 2

    Immunohistochemistry of paraffin-embedded rat kidney using MAPK7 antibody at dilution of 1:100 (x400 lens).

  • A2111: image 3

    Immunofluorescence analysis of MCF7 cell using MAPK7 antibody. Blue: DAPI for nuclear staining.

Background

ERK5 (Mitogen-activated protein kinase 7, Big mitogen-activated protein kinase 1) is a member of the MAPK superfamily implicated in the regulation numerous cellular processes including proliferation, differentiation, and survival (1,5-7). Like other MAPK family members, ERK5 contains a canonical activation loop TEY motif (Thr218/Tyr220) which is specifically phosphorylated by MAP2K5 (MEK5) in a growth factor-dependent, Ras-independent mechanism (2-4). For example, EGF stimulation promotes ERK5 phosphorylation which induces its traslocation to the nucleus where it phosphorylates MEF2C and other transcriptional targets (2,3). ERK5 is also activated in response to granulocyte colony-stimulating factor (G-CSF) in hematopoetic progenitor cells where it promotes survival and proliferation (4). In neuronal cells, ERK5 is required for NGF-induced neurite outgrowth, neuronal homeostatis, and survival (11,12). ERK5 is thought to play a role in blood vessel integrity via maintainence of endothelial cell migration and barrier function (8-10). Although broadly expressed, research studies have shown that mice lacking erk5 display numerous cardiac defects, suggesting ERK5 plays a critical role in vascular development and homeostasis (1,5).

Protocol

N/A

MSDS
Reviews
Kendall Scientific welcomes feedback from its customers.

If you have used an our product and would like to share how it has performed, please click on the "Submit Review" button and provide the requested information.

If you have any additional inquiries please email technical services at info@kendallscientific.com.

Thank you for your support.

promotions

Image

Custom Monoclonal Antibody
MassAb Technologies
Image
Free Trial Custom Polyclonal Antibody
You will receive free purified antibodies for validation
Image
Custom Peptides Synthesis

Start from $40/each

new technologies

Image
Optimized for enhanced
expression levels
XPromoter 2.0
Image
E.coli/insect cells/293 & CHO

3 in 1 expression system
Image
MassAb Technologies

Cover All Epitopes