For quotations, please use our online quotation form, and you may also contact us by
service@kendallscientific.com
+1-888.733.6849 (Toll-free)
+1-617.299.7367 (Int’l))
+1-888.733.6849
Our customer service representatives are available 24 hours, Monday through Friday to assist you.| Reactivity | Human Mouse Rat |
| Tested applications | WB IHC IF |
| Recommended Dilution | WB 1:500 - 1:2000 IHC 1:50 - 1:200 IF 1:50 - 1:200 |
| Calculated MW | 18kDa |
| Observed MW | Refer to Figures |
| Immunogen | Recombinant protein of human MAX |
| Storage Buffer | Store at -20℃. Avoid freeze / thaw cycles. Buffer: PBS with 0.02% sodium azide, 50% glycerol, pH7.3. |
| Concentration | k |
| Synonym | MGC10775; MGC11225; MGC18164; MGC34679; MGC36767; bHLHd4; bHLHd5; bHLHd6; bHLHd7; bHLHd8; orf1 |

Western blot analysis of extracts of MCF7 cells, using MAX antibody.

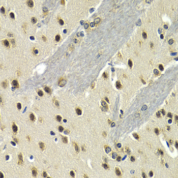
Immunohistochemistry of paraffin-embedded rat brain using MAX antibody at dilution of 1:200 (400x lens).

Immunohistochemistry of paraffin-embedded mouse brain using MAX antibody at dilution of 1:200 (400x lens).

Immunofluorescence analysis of U20S cell using MAX antibody. Blue: DAPI for nuclear staining.
Members of the Myc/Max/Mad network function as transcriptional regulators with roles in various aspects of cell behavior including proliferation, differentiation and apoptosis (1). These proteins share a common basic-helix-loop-helix leucine zipper (bHLH-ZIP) motif required for dimerization and DNA-binding. Max was originally discovered based on its ability to associate with c-Myc and found to be required for the ability of Myc to bind DNA and activate transcription (2). Subsequently, Max has been viewed as a central component of the transcriptional network, forming homodimers as well as heterodimers with other members of the Myc and Mad families (1). The association between Max and either Myc or Mad can have opposing effects on transcriptional regulation and cell behavior (1). The Mad family consists of four related proteins; Mad1, Mad2 (Mxi1), Mad3 and Mad4, and the more distantly related members of the bHLH-ZIP family, Mnt and Mga. Like Myc, the Mad proteins are tightly regulated with short half-lives. In general, Mad family members interfere with Myc-mediated processes such as proliferation, transformation and prevention of apoptosis by inhibiting transcription (3,4).
N/A