MBP-Polyclonal Antibodies

our services
our products
Quotations & Ordering:

For quotations, please use our online quotation form, and you may also contact us by

service@kendallscientific.com

Phone:

+1-888.733.6849 (Toll-free)
+1-617.299.7367 (Int’l))

Fax:

+1-888.733.6849

Our customer service representatives are available 24 hours, Monday through Friday to assist you.

MBP

Qty


Total
$220
Catalog #
A1664
Antibody Type
Polyclonal Antibody
Gene ID
4155
Swiss Prot
P02686
Size
Species
Rabbit
Isotype
IgG
Purity
Affinity purification
Additional Information
ReactivityHuman Mouse Rat
Tested applicationsWB IHC IF
Recommended DilutionWB 1:500 - 1:2000 IHC 1:50 - 1:200 IF 1:50 - 1:200
Calculated MW33kDa
Observed MWRefer to Figures
ImmunogenRecombinant protein of human MBP
Storage BufferStore at -20℃. Avoid freeze / thaw cycles. Buffer: PBS with 0.02% sodium azide, 50% glycerol, pH7.3.
SynonymMGC99675;
Images
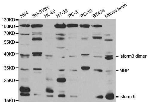
  • A1664: image 1

    Western blot analysis of extracts of various cell lines, using MBP antibody.

  • A1664: image 2

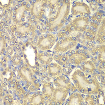
    Immunohistochemistry of paraffin-embedded rat kidney using MBP antibody at dilution of 1:200 (400x lens).

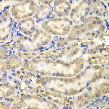
  • A1664: image 3

    Immunohistochemistry of paraffin-embedded mouse kidney using MBP antibody at dilution of 1:200 (400x lens).

Background

MBP belongs to the myelin basic protein family. The classic group of MBP isoforms (isoform 4-isoform 14) are the most abundant protein components of the myelin membrane in the CNS. They have a role in both its formation and stabilization. The smaller isoforms might have an important role in remyelination of denuded axons in multiple sclerosis. The non-classic group of MBP isoforms (isoform 1-isoform 3/Golli-MBPs) may preferentially have a role in the early developing brain long before myelination, maybe as components of transcriptional complexes, and may also be involved in signaling pathways in T-cells and neural cells. This is a rabbit polyclonal antibody raised against the full-length of human MBP,and is capable of recognizing multiple isoforms of MBP.

Protocol

N/A

MSDS
Reviews
Kendall Scientific welcomes feedback from its customers.

If you have used an our product and would like to share how it has performed, please click on the "Submit Review" button and provide the requested information.

If you have any additional inquiries please email technical services at info@kendallscientific.com.

Thank you for your support.

promotions

Image

Custom Monoclonal Antibody
MassAb Technologies
Image
Free Trial Custom Polyclonal Antibody
You will receive free purified antibodies for validation
Image
Custom Peptides Synthesis

Start from $40/each

new technologies

Image
Optimized for enhanced
expression levels
XPromoter 2.0
Image
E.coli/insect cells/293 & CHO

3 in 1 expression system
Image
MassAb Technologies

Cover All Epitopes