For quotations, please use our online quotation form, and you may also contact us by
service@kendallscientific.com
+1-888.733.6849 (Toll-free)
+1-617.299.7367 (Int’l))
+1-888.733.6849
Our customer service representatives are available 24 hours, Monday through Friday to assist you.| Reactivity | Human Mouse Rat |
| Tested applications | WB IHC |
| Recommended Dilution | WB 1:500 - 1:2000 IHC 1:100 - 1:200 |
| Calculated MW | 102kDa |
| Observed MW | Refer to Figures |
| Immunogen | Recombinant protein of human MCM2 |
| Storage Buffer | Store at -20℃. Avoid freeze / thaw cycles. Buffer: PBS with 0.02% sodium azide, 50% glycerol, pH7.3. |
| Concentration | d |
| Synonym | MCM2;BM28;CCNL1;CDCL1;D3S3194;KIAA0030;MGC10606;MITOTIN;cdc19 |

Western blot analysis of extracts of various cell lines, using MCM2 antibody.

Immunohistochemistry of paraffin-embedded human normal colon using MCM2 antibody at dilution of 1:200 (400x lens).

Immunohistochemistry of paraffin-embedded mouse spleen using MCM2 antibody.

Immunohistochemistry of paraffin-embedded human lung cancer using MCM2 antibody.

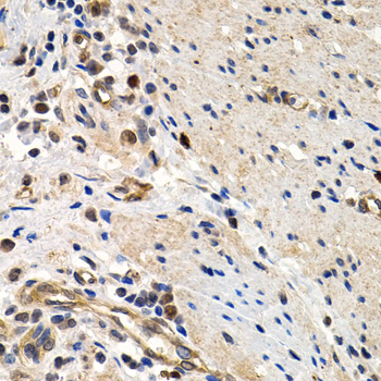
Immunohistochemistry of paraffin-embedded human esophageal cancer using MCM2 antibody.

Immunohistochemistry of paraffin-embedded human stomach using MCM2 antibody.
The minichromosome maintenance (MCM) 2-7 proteins are a family of six related proteins required for the initiation and elongation of DNA replication. MCM2-7 bind together to form the heterohexameric MCM complex that is thought to act as a replicative helicase at the DNA replication fork (1-5). This complex is also a key component of the pre-replication complex (pre-RC) (reviewed in 1). Cdc6 and CDT1 recruit the MCM complex to the origin recognition complex (ORC) during late mitosis/early G1 phase forming the pre-RC and licensing the DNA for replication (reviewed in 2). Phosphorylation of the MCM2, MCM3, MCM4, and MCM6 subunits appears to regulate MCM complex activity and the initiation of DNA synthesis (6-8). MCM proteins are removed during DNA replication, causing chromatin to become unlicensed through inhibition of pre-RC reformation. Licensing of the chromatin permits the DNA to replicate only once per cell cycle, thereby helping to ensure that genetic alterations and malignant cell growth do not occur (reviewed in 3). Studies have shown that the MCM complex is involved in checkpoint control by protecting the structure of the replication fork and assisting in restarting replication by recruiting checkpoint proteins after arrest (reviewed in 3,9).
N/A