For quotations, please use our online quotation form, and you may also contact us by
service@kendallscientific.com
+1-888.733.6849 (Toll-free)
+1-617.299.7367 (Int’l))
+1-888.733.6849
Our customer service representatives are available 24 hours, Monday through Friday to assist you.| Reactivity | Human Mouse Rat |
| Tested applications | WB IHC |
| Recommended Dilution | WB 1:500 - 1:2000 IHC 1:50 - 1:200 |
| Calculated MW | 97kDa |
| Observed MW | Refer to Figures |
| Immunogen | A synthetic peptide of human MCM4 |
| Storage Buffer | Store at -20℃. Avoid freeze / thaw cycles. Buffer: PBS with 0.02% sodium azide, 50% glycerol, pH7.3. |
| Synonym | CDC21; CDC54; hCdc21; P1-CDC21 |

Western blot analysis of extracts of various cell lines, using MCM4 antibody. (1: NIH/3T3 cell lysate 2: Hela cell lysate 3: K562 cell lysate )

Immunohistochemistry of paraffin-embedded Human brain tissue using MCM4 antibody.

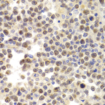
Immunohistochemistry of paraffin-embedded human B cell lymphoma using MCM4 antibody at dilution of 1:200 (40x lens).

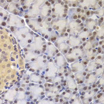
Immunohistochemistry of paraffin-embedded rat pancreas using MCM4 antibody at dilution of 1:200 (40x lens).

Immunohistochemistry of paraffin-embedded mouse brain using MCM4 antibody at dilution of 1:200 (40x lens).

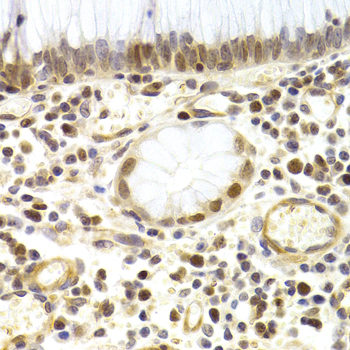
Immunohistochemistry of paraffin-embedded human stomach cancer using MCM4 antibody at dilution of 1:200 (40x lens).
The protein encoded by this gene is one of the highly conserved mini-chromosome maintenance proteins (MCM) that are essential for the initiation of eukaryotic genome replication. The hexameric protein complex formed by MCM proteins is a key component of the pre-replication complex (pre_RC) and may be involved in the formation of replication forks and in the recruitment of other DNA replication related proteins. The MCM complex consisting of this protein and MCM2, 6 and 7 proteins possesses DNA helicase activity, and may act as a DNA unwinding enzyme. The phosphorylation of this protein by CDC2 kinase reduces the DNA helicase activity and chromatin binding of the MCM complex. This gene is mapped to a region on the chromosome 8 head-to-head next to the PRKDC/DNA-PK, a DNA-activated protein kinase involved in the repair of DNA double-strand breaks. Alternatively spliced transcript variants encoding the same protein have been reported.
N/A