MOCS3-Polyclonal Antibodies

our services
our products
Quotations & Ordering:

For quotations, please use our online quotation form, and you may also contact us by

service@kendallscientific.com

Phone:

+1-888.733.6849 (Toll-free)
+1-617.299.7367 (Int’l))

Fax:

+1-888.733.6849

Our customer service representatives are available 24 hours, Monday through Friday to assist you.

MOCS3

Qty


Total
$220
Catalog #
A7367
Antibody Type
Polyclonal Antibody
Gene ID
27304
Swiss Prot
O95396
Size
Species
Rabbit
Isotype
IgG
Purity
Affinity purification
Additional Information
ReactivityHuman Mouse Rat
Tested applicationsWB IHC IF
Recommended DilutionWB 1:500 - 1:2000 IHC 1:50 - 1:200 IF 1:50 - 1:200
Calculated MW50kDa
Observed MWRefer to figures
ImmunogenRecombinant protein of human MOCS3
Storage BufferStore at -20℃. Avoid freeze / thaw cycles. Buffer: PBS with 0.02% sodium azide, 50% glycerol, pH7.3.
SynonymUBA4;
Images
  • A7367: image 1

    Western blot analysis of extracts of various cell lines, using MOCS3 antibody.

  • A7367: image 2

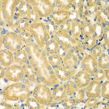
    Immunohistochemistry of paraffin-embedded mouse kidney using MOCS3 antibody at dilution of 1:100 (x400 lens).

  • A7367: image 3

    Immunofluorescence analysis of A549 cell using MOCS3 antibody. Blue: DAPI for nuclear staining.

Background

Molybdenum cofactor (MoCo) is necessary for the function of all molybdoenzymes. The protein encoded by this gene adenylates and activates molybdopterin synthase, an enzyme required for biosynthesis of MoCo. This gene contains no introns. A pseudogene of this gene is present on chromosome 14.

Protocol

N/A

MSDS
Reviews
Kendall Scientific welcomes feedback from its customers.

If you have used an our product and would like to share how it has performed, please click on the "Submit Review" button and provide the requested information.

If you have any additional inquiries please email technical services at info@kendallscientific.com.

Thank you for your support.

promotions

Image

Custom Monoclonal Antibody
MassAb Technologies
Image
Free Trial Custom Polyclonal Antibody
You will receive free purified antibodies for validation
Image
Custom Peptides Synthesis

Start from $40/each

new technologies

Image
Optimized for enhanced
expression levels
XPromoter 2.0
Image
E.coli/insect cells/293 & CHO

3 in 1 expression system
Image
MassAb Technologies

Cover All Epitopes