For quotations, please use our online quotation form, and you may also contact us by
service@kendallscientific.com
+1-888.733.6849 (Toll-free)
+1-617.299.7367 (Int’l))
+1-888.733.6849
Our customer service representatives are available 24 hours, Monday through Friday to assist you.| Reactivity | Human Mouse Rat |
| Tested applications | WB IHC IF IP |
| Recommended Dilution | WB 1:500 - 1:2000 IHC 1:50 - 1:200 IF 1:50 - 1:100 IP 1:50 - 1:100 |
| Calculated MW | 32kDa |
| Observed MW | Refer to Figures |
| Immunogen | Recombinant protein of human MPG |
| Storage Buffer | Store at -20℃. Avoid freeze / thaw cycles. Buffer: PBS with 0.02% sodium azide, 50% glycerol, pH7.3. |
| Concentration | ef |
| Synonym | AAG; MDG; ADPG; APNG; Mid1; anpg; PIG11; PIG16; CRA36.1; |

Western blot analysis of extracts of various cell lines, using MPG antibody.

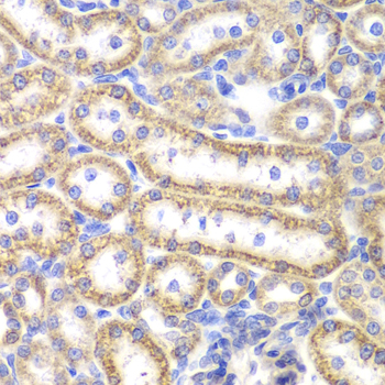
Immunohistochemistry of paraffin-embedded rat kidney using MPG antibody at dilution of 1:200 (400x lens).

Immunofluorescence analysis of U2OS cell using MPG antibody. Blue: DAPI for nuclear staining.

Immunofluorescence analysis of GFP-RNF168 transgenic U2OS cell using MPG antibody. Green: GFP-RNF168 fusion protein expression for DNA damage marker. Blue: DAPI for nuclear staining. RNF168 (GFP) can be used to mark cells damaged by UV-A laser for they always gather around DNA damage region.

Immunofluorescence analysis of U2OS cell using MPG antibody. Blue: DAPI for nuclear staining.

Immunofluorescence analysis of A549 cell using MPG antibody.

Immunofluorescence analysis of A549 cell using MPG antibody. Blue: DAPI for nuclear staining.
N/A