For quotations, please use our online quotation form, and you may also contact us by
service@kendallscientific.com
+1-888.733.6849 (Toll-free)
+1-617.299.7367 (Int’l))
+1-888.733.6849
Our customer service representatives are available 24 hours, Monday through Friday to assist you.| Reactivity | Human Mouse Rat |
| Tested applications | WB IHC |
| Recommended Dilution | WB 1:500 - 1:2000 IHC 1:50 - 1:200 |
| Calculated MW | 7kDa |
| Observed MW | Refer to Figures |
| Immunogen | Recombinant protein of human MT2A |
| Storage Buffer | Store at -20℃. Avoid freeze / thaw cycles. Buffer: PBS with 0.02% sodium azide, 50% glycerol, pH7.3. |
| Concentration | h |
| Synonym | MT2; MT2A;MT-II; |

Western blot analysis of extracts of HeLa cells, using MT2A antibody.

Immunohistochemistry of paraffin-embedded rat heart using MT2A antibody at dilution of 1:200 (400x lens).

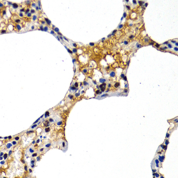
Immunohistochemistry of paraffin-embedded rat lung using MT2A antibody at dilution of 1:200 (400x lens).

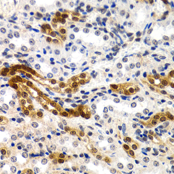
Immunohistochemistry of paraffin-embedded rat kidney using MT2A antibody at dilution of 1:200 (400x lens).

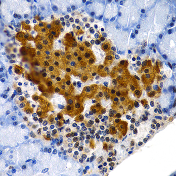
Immunohistochemistry of paraffin-embedded rat pancreas using MT2A antibody at dilution of 1:200 (400x lens).

Immunohistochemistry of paraffin-embedded rat brain using MT2A antibody at dilution of 1:200 (400x lens).

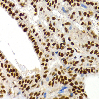
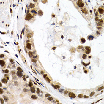
Immunohistochemistry of paraffin-embedded human thyroid cancer using MT2A antibody at dilution of 1:200 (400x lens).

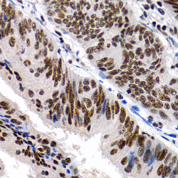
Immunohistochemistry of paraffin-embedded human colon cancer using MT2A antibody at dilution of 1:200 (400x lens).

Immunohistochemistry of paraffin-embedded human liver cancer using MT2A antibody at dilution of 1:200 (400x lens).

Immunohistochemistry of paraffin-embedded human normal stomach using MT2A antibody at dilution of 1:200 (400x lens).

Immunohistochemistry of paraffin-embedded human stomach cancer using MT2A antibody at dilution of 1:200 (400x lens).
MT2A (metallothionein 2A) is a protein-coding gene. Diseases associated with MT2A include cerebral lymphoma. GO annotations related to this gene include drug binding. An important paralog of this gene is MT1G.
N/A