For quotations, please use our online quotation form, and you may also contact us by
service@kendallscientific.com
+1-888.733.6849 (Toll-free)
+1-617.299.7367 (Int’l))
+1-888.733.6849
Our customer service representatives are available 24 hours, Monday through Friday to assist you.| Reactivity | Human Mouse Rat |
| Tested applications | WB IHC |
| Recommended Dilution | WB 1:500 - 1:2000 IHC 1:50 - 1:200 |
| Calculated MW | 95kDa |
| Observed MW | Refer to Figures |
| Immunogen | Recombinant protein of human MYSM1 |
| Storage Buffer | Store at -20℃. Avoid freeze / thaw cycles. Buffer: PBS with 0.02% sodium azide, 50% glycerol, pH7.3. |
| Concentration | f |
| Synonym | 2ADUB; 2A-DUB; RP4-592A1.1; |

Western blot analysis of extracts of various cell lines, using MYSM1 antibody.

Immunohistochemistry of paraffin-embedded human gastric cancer tissue using MYSM1 antibody.

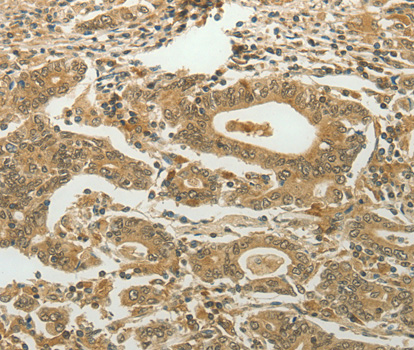
Immunohistochemistry of paraffin-embedded human kidney cancer tissue using MYSM1 antibody at dilution of 1:200 (x400 lens).

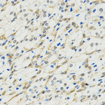
Immunohistochemistry of paraffin-embedded mouse heart tissue using MYSM1 antibody at dilution of 1:200 (x400 lens).

Immunohistochemistry of paraffin-embedded Human embryo brain using MYSM1 antibody at dilution of 1:100 (x400 lens).

Immunohistochemistry of paraffin-embedded Rat testis using MYSM1 antibody at dilution of 1:100 (x400 lens).
Metalloprotease that specifically deubiquitinates monoubiquitinated histone H2A, a specific tag for epigenetic transcriptional repression, thereby acting as a coactivator. Preferentially deubiquitinates monoubiquitinated H2A in hyperacetylated nucleosomes. Deubiquitination of histone H2A leads to facilitate the phosphorylation and dissociation of histone H1 from the nucleosome. Acts as a coactivator by participating in the initiation and elongation steps of androgen receptor (AR)-induced gene activation.
N/A