NAP1L1-Polyclonal Antibodies

our services
our products
Quotations & Ordering:

For quotations, please use our online quotation form, and you may also contact us by

service@kendallscientific.com

Phone:

+1-888.733.6849 (Toll-free)
+1-617.299.7367 (Int’l))

Fax:

+1-888.733.6849

Our customer service representatives are available 24 hours, Monday through Friday to assist you.

NAP1L1

Qty


Total
$220
Catalog #
A2769
Antibody Type
Polyclonal Antibody
Gene ID
4673
Swiss Prot
P55209
Size
Species
Rabbit
Isotype
IgG
Purity
Affinity purification
Additional Information
ReactivityHuman Mouse Rat
Tested applicationsWB IHC
Recommended DilutionWB 1:500 - 1:2000 IHC 1:50 - 1:200
Calculated MW45kDa
Observed MWRefer to Figures
ImmunogenRecombinant protein of human NAP1L1
Storage BufferStore at -20℃. Avoid freeze / thaw cycles. Buffer: PBS with 0.02% sodium azide, 50% glycerol, pH7.3.
Concentrationf
SynonymNRP; NAP1; NAP1L;
Images
  • A2769: image 1

    Western blot analysis of extracts of various cell lines, using NAP1L1 antibody.

  • A2769: image 2

    Immunohistochemistry of paraffin-embedded human tonsil tissue using NAP1L1 antibody.

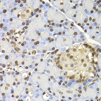
  • A2769: image 3

    Immunohistochemistry of paraffin-embedded rat pancreas using NAP1L1 antibody at dilution of 1:200 (400x lens).

Background

This gene encodes a member of the nucleosome assembly protein (NAP) family. This protein participates in DNA replication and may play a role in modulating chromatin formation and contribute to the regulation of cell proliferation. Alternative splicing of this gene results in several transcript variants; however, not all have been fully described.

Protocol

N/A

MSDS
Reviews
Kendall Scientific welcomes feedback from its customers.

If you have used an our product and would like to share how it has performed, please click on the "Submit Review" button and provide the requested information.

If you have any additional inquiries please email technical services at info@kendallscientific.com.

Thank you for your support.

promotions

Image

Custom Monoclonal Antibody
MassAb Technologies
Image
Free Trial Custom Polyclonal Antibody
You will receive free purified antibodies for validation
Image
Custom Peptides Synthesis

Start from $40/each

new technologies

Image
Optimized for enhanced
expression levels
XPromoter 2.0
Image
E.coli/insect cells/293 & CHO

3 in 1 expression system
Image
MassAb Technologies

Cover All Epitopes