NEDD9-Polyclonal Antibodies

our services
our products
Quotations & Ordering:

For quotations, please use our online quotation form, and you may also contact us by

service@kendallscientific.com

Phone:

+1-888.733.6849 (Toll-free)
+1-617.299.7367 (Int’l))

Fax:

+1-888.733.6849

Our customer service representatives are available 24 hours, Monday through Friday to assist you.

NEDD9

Qty


Total
$220
Catalog #
A2521
Antibody Type
Polyclonal Antibody
Gene ID
4739
Swiss Prot
Q14511
Size
Species
Rabbit
Isotype
IgG
Purity
Affinity purification
Additional Information
ReactivityHuman Mouse Rat
Tested applicationsWB IHC IF
Recommended DilutionWB 1:500 - 1:2000 IHC 1:50 - 1:200 IF 1:50 - 1:200
Calculated MW92kDa
Observed MWRefer to Figures
ImmunogenRecombinant protein of human NEDD9
Storage BufferStore at -20℃. Avoid freeze / thaw cycles. Buffer: PBS with 0.02% sodium azide, 50% glycerol, pH7.3.
SynonymCAS2; CASL; HEF1; CAS-L; CASS2;
Images
  • A2521: image 1

    Western blot analysis of extracts of various cell lines, using NEDD9 antibody.

  • A2521: image 2

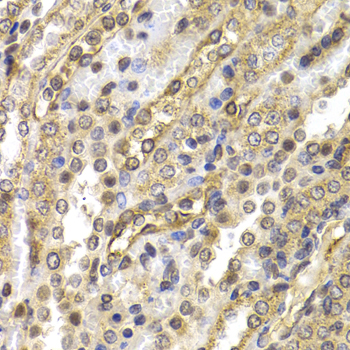
    Immunohistochemistry of paraffin-embedded rat kidney using NEDD9 antibody at dilution of 1:200 (400x lens).

  • A2521: image 3

    Immunofluorescence analysis of U20S cell using NEDD9 antibody. Blue: DAPI for nuclear staining.

Background

The protein encoded by this gene is a member of the CRK-associated substrates family. Members of this family are adhesion docking molecules that mediate protein-protein interactions for signal transduction pathways. This protein is a focal adhesion protein that acts as a scaffold to regulate signaling complexes important in cell attachment, migration and invasion as well as apoptosis and the cell cycle. This protein has also been reported to have a role in cancer metastasis. Alternative splicing results in multiple transcript variants.

Protocol

N/A

MSDS
Reviews
Kendall Scientific welcomes feedback from its customers.

If you have used an our product and would like to share how it has performed, please click on the "Submit Review" button and provide the requested information.

If you have any additional inquiries please email technical services at info@kendallscientific.com.

Thank you for your support.

promotions

Image

Custom Monoclonal Antibody
MassAb Technologies
Image
Free Trial Custom Polyclonal Antibody
You will receive free purified antibodies for validation
Image
Custom Peptides Synthesis

Start from $40/each

new technologies

Image
Optimized for enhanced
expression levels
XPromoter 2.0
Image
E.coli/insect cells/293 & CHO

3 in 1 expression system
Image
MassAb Technologies

Cover All Epitopes